Вы просматриваете раздел Арахноидальная киста, расположенный в большом разделе Киста
Арахноидальная киста – это
образование доброкачественного порядка
, напоминающее по форме пузырь.
Полость кисты заполнена ликвором — спинномозговой жидкостью, располагается данное новообразование между мозговыми оболочками.
В подавляющем большинстве в течение патологии не наблюдается яркой клинической картины, и она выявляется на МРТ случайно. Но, если новообразование существенно увеличивается в размере, оно будет пережимать мозговые ткани, что вызовет яркие клинические проявления.
Название кисты отображает место нахождения новообразования – мозговая или по-другому — арахноидальная оболочка.
Классификация
По Международной Классификации Болезней (МКБ-10) патологии присвоен код Q04.6.
Классификация недуга связана с месторасположением патологии, при этом различают следующие виды:
- Арахноидальная – находится между тремя мембранами мозга, у детей это новообразование может провоцировать гидроцефалию и увеличение объема черепной коробки. При диагностировании кисты у взрослых лечения чаще всего не требуется, разумеется, если рост патологии отсутствует.
- Ретроцеребеллярная – локализуется внутри органа, это новообразование может привести к гибели мозговых клеточных структур.
- Субарахноидальная – новообразование врожденное, которое может провоцировать неуверенность походки, судороги и пульсирующие ощущения внутри черепа.
- Арахноидальная ликворная киста – встречается у лиц старшей возрастной группы или имеющих изменения атеросклеротического характера.
В соответствии с причинами возникновения патологии, арахноидальные кистозные патологии делятся на:
- врожденные – их развитие происходит в период роста плода в материнской утробе, а также при асфиксии ребенка.
- приобретенные – развиваются после некоторых заболеваний, а также при неблагоприятном воздействии окружающей среды.
Существует классификация кист и по симптоматике:
прогрессирующие – клинические признаки нарастают, что в основном связано с увеличением объема кистозной полости;
замершие – находятся в латентном состоянии, и в размере не увеличиваются.
Важно! Для выбора правильной и наиболее эффективной терапии очень важно правильно классифицировать кисту.
Размеры и норма
Пациентов часто интересует вопрос о нормальных размерах кисты и объемах, при которых необходимо операционное вмешательство.
Надо сказать, что о норме можно говорить только при отсутствии кистозного новообразования, если же киста имеется, то это уже аномалия, и ее размер по сути особого значения не имеет.
Данный вид может иметь разные размеры, но очень сильно киста расти все-таки не может. Мозговая жидкость оказывает сопротивление ее росту. Если размер кисты 1-2 мм ее считают небольшой, если новообразование вырастает до 1 см, его считают средним, большими считаются кисты более 1 см.
При диагностике небольших кист врачи, как правило, лечения не назначают, а выбирают выжидательную тактику и просто наблюдают за изменениями объема новообразования. Крупные кисты лечатся операционным путем, операция также показана и при среднем размере новообразования, когда проявляется симптоматика.
Причины возникновения
Первичные (врожденные) кисты образуются при аномалиях развивающегося плода, чаще всего это происходит под воздействием следующих факторов:
- интоксикация плода наркотическими веществами, алкоголем, никотином, медикаментами, которые оказывают тератогенный эффект;
- внутриутробное заражение плода вирусами;
- облучение;
- сильное перегревание организма в период вынашивания малыша.
Кроме того, образование может возникать при синдроме Марфана – это аномалия соединительной ткани, а также при патологиях мозолистого тела.
Вторичные патологии могут развиваться при:
- травмах мозга;
- патологических процессах в мозге, например, дегенеративных;
- при наличии инфекций;
- ухудшения мозгового кровообращения.
Кроме того, патология может наблюдаться после операционного вмешательства.
Механизм развития данного новообразования достаточно сложен, и связан с нарушением циркуляции ликвора. В результате формируется полость, заполненная ликвором.
Симптоматические проявления
Для данного кистозного новообразования
характерно бессимптомное течение
.
Чаще всего подобные новообразования выявляются в ходе обследования пациента по поводу неврологических патологий схожей симптоматики.
Клинические признаки кисты неспецифические, их выраженность находится в зависимости с размерами новообразования и местом его локализации. Пациенты могут жаловаться на общемозговую симптоматику, которая связана со сдавливанием мозговых участков. Очаговая клиническая картина наблюдается в редких случаях, и чаще всего обусловлена наличием гигромы или разрывом кистозной полости.
Основными признаками являются:
- головокружения, которые не имеют связи с беременностью, приемом некоторых препаратов, сильной усталостью, железодефицитом и так далее;
- рвота, которая также не связана с желудочно-кишечными отравлениями, приемом медикаментов и так далее;
- расстройства психического характера, галлюцинации;
- судорожный синдром;
- потеря сознания;
- гемипарезы, снижение чувствительности в конечностях;
- сбой в согласованности активности мышц тела;
- головные боли, которые не купируются болеутоляющими средствам;
- ощущение распирания, давления, сжатия и усиление пульсации в области поражения;
- зрительные и слуховые проблемы;
- посторонние звуки в ушах;
- тяжесть в черепной коробке;
- болезненные или дискомфортные ощущения при поворотах головы.
Справка! Вторичные арахноидальные кистозные новообразования могут сопровождаться симптомами травмы или первичного заболевания, которое послужило толчком для развития заболевания.
Характеристика по месту локализации
Обсуждаемая киста может располагаться:
- в височных долях;
- в теменной части;
- в лобной области;
- в области мозжечка;
- в спинномозговом канале;
- в позвоночном столбе;
- в поясничном отделе.
Читайте также: Код мкб нцд по гипертоническому
В задней черепной ямке
Данная киста в ЗЧЯ (задней черепной ямке) сопровождается симптоматикой:
- непрекращающиеся головные боли;
- рвота;
- сбой в согласованности движений;
- непостоянный паралич частей тела;
- судорожный синдром;
- расстройства психики;
- галлюцинации.
Согласно статистике опухоли данного типа чаще наблюдаются у мужчин, кроме того, увеличение объема кистозной полости у мужчин происходит более активно, чем у женщин. При очень большой кисте могут возникать речевые дефекты, потеря слуха, временные проблемы с памятью.
В крестцовом канале
Киста арахноидального типа в крестцовом отделе – это каверна. В ней спинномозговая оболочка образует паутинообразные стенки. При размере кисты более 1,5 см пациент может жаловаться на:
- боль в пояснице при повышенных нагрузках;
- онемение, парезы, нарушения функциональности конечностей;
- головные боли, скачки кровяного давления, головокружения;
- если киста располагается на уровне S2 нарушается половая функция, а также возникают кишечные проблемы.
В височной доле
Киста в височной доле чаще всего наблюдается с левой стороны. Это обусловлено более нежным строением левосторонних мозговых оболочек и их повышенной чувствительностью к инфекциям. У человека с кистой в этой области наблюдается:
- шаткая походка;
- отсутствие двигательной координации;
- ухудшение чувствительности конечностей;
- судороги;
- отключения сознания;
- психические нарушения.
Эти симптомы обусловлены гидроцефалией – накоплением жидкости в черепной коробке. Киста правой лобной доли сопровождается аналогичной клиникой.
Образование ретроцеребеллярного типа
Это достаточно редкая патология, которая диагностируется у 5% населения.
Данное новообразование совмещает насколько разновидностей новообразований, которые отличаются между собой расположением:
- арахноидальная,
- внутримозговая – может сформироваться в любом отделе,
- нижняя ретроцеребеллярная.
О данной кисте говорят тогда, когда новообразование локализуется только в области мозжечка. В этом случае наблюдается:
- мигрени;
- рвота;
- параличи и парезы;
- неполадки с равновесием;
- изображение перед глазами становится не четкой;
- снижение концентрации;
- ухудшение характера;
- потери сознания;
- подергивания глазных яблок;
- ухудшение мышления;
- нарушение ориентации в пространстве и времени;
- снижение тонуса мышц.
У детей
У детей данное новообразование диагностируется на основании
симптоматических проявлений и анамнеза ребенка.
Специалист узнает, были ли у ребенка травмы или операции в области головного мозга, болел и он менингитом, имели ли место кровоизлияния.
После этого проводится неврологический осмотр, а также назначаются КТ или МРТ.
Надо сказать, что данная патология несет опасность для ребенка. Она заключается в провокации устойчивых неврологических нарушений и эпилептических припадков.
Родители ни в коем случае не должны заниматься самостоятельным лечением ребенка, а тем более пускать заболевание на самотек. Малыша нужно срочно показать врачу, который назначит правильную схему лечения. Если клиническая картина ярко выражена, может потребоваться вмешательство хирурга.
Клиническая картина у новорожденного ребенка:
- сильная пульсация в родничковой области;
- конечности вялые;
- неориентированный взгляд.
Одним из ярких признаков кисты у новорожденного – сильное срыгивание во время кормления или после него.
Полезное видео по теме:
Диагностика и лечение
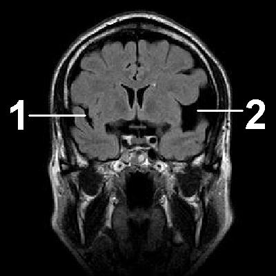
Диагностика заключается в проведении КТ или МРТ.
По результатам этих исследований можно точно установить наличие кисты, ее размеры и местоположение.
Поскольку киста считается следствием других патологий, назначается:
- анализ крови на обнаружение вирусов, инфекций и аутоиммунных патологий;
- протромбиновый индекс;
- анализ крови на количество холестерина;
- доплер сосудов мозга;
- ЭКГ;
- наблюдение за кровяным давлением.
Небольшие и средние кисты лечатся консервативно, назначаются:
- препараты, рассасывающие спайки – Лонгидаза, Карипатин;
- средства, улучшающие процессы обмена – Глиатилин, Актовегин;
- иммуномодуляторы – Тимоген, Виферон;
- антивирусные средства – Амиксин, Пирогенал.
Осложненные кисты, а также кисты большого размера, которые провоцируют острую клиническую картину, удаляют хирургическим путем. Это, как правило, эндоскопическое вмешательство – прокалывание стенки кистозного новообразования и откачивание из него жидкого содержимого. При невозможности подобной операции проводят шунтирование или микронейрохирургическую операцию.
Читайте также: Мкб 10 орви код острого обструктивного бронхита
Лечение народными средствами
Использование средств народной медицины при кисте мозга оказывает лишь поддерживающий эффект, поэтому их применяю только при бессимптомном течении патологии. Чаще всего используются:
- болиголов;
- кавказская диоскоря;
- дрожжевой эликсир.
Надо понимать, что народными методами вылечить патологию невозможно, они направлены на очищение и расширение сосудов мозга, купируют воспаление и оказывают положительное влияние на работу головного мозга.
Варианты развития
Чаще всего киста не нарушает деятельность головного мозга. В случае увеличения объема новообразования и появления неврологических отклонений, варианты развития кисты будут зависеть от своевременности диагностики и правильности лечения.
При усилении давления в голове могут возникать серьезные нарушения со стороны речи, слуха, зрения и памяти. Возможно возникновение стойких неврологических нарушений. Резкое увеличение размеров новообразования способно спровоцировать его разрыв и гибель пациента. Если диагностика и терапия проведены вовремя, прогноз достаточно оптимистичен и после проведенного лечения пациент восстанавливается на 100%.
Содержание
- Описание
- Дополнительные факты
- Классификация
- Причины
- Симптомы
- Диагностика
- Лечение
Названия
Название: Арахноидальная киста головного мозга.
Арахноидальная киста головного мозга
Описание
Арахноидальная киста головного мозга. Заполненное цереброспинальной жидкостью образование, располагающееся между дупликатурой арахноидальной оболочки. Может иметь врожденную и вторичную природу. Зачастую протекает латентно, без клинических проявлений. При увеличении объема киста дебютирует симптомами внутричерепной гипертензии, судорожными пароксизмами и очаговым неврологическим дефицитом. Диагностируется в основном по данным МРТ головного мозга. При нарастании клинических симптомов требуется хирургическое лечение — дренирование кисты, ее фенестрация, иссечение или шунтирование.
Дополнительные факты
Арахноидальная киста головного мозга представляет собой ограниченное скопление цереброспинальной жидкости (ликвора) в толще покрывающих головной мозг оболочек. Свое название киста получила в связи с локализацией в арахноидальной церебральной оболочке. В месте образования кисты арахноидальная оболочка утолщена и имеет дупликатуру, т. Е. Разделяется на два листка, между которыми накапливается цереброспинальная жидкость. Как правило, кисты имеют малый объем, но при скоплении в них большого количества ликвора, они оказывают компрессионное воздействие на подлежащую кору головного мозга. Это приводит к манифестации клинических проявлений интракраниального (внутричерепного) объемного образования.
Арахноидальная киста головного мозга может иметь различное месторасположение. Наиболее часто такие кисты находятся в области мостомозжечкового угла, сильвиевой борозды и над турецким седлом (супраселлярно). По имеющимся данным около 4% населения имеют арахноидальные кисты, но далеко не у всех они дают какие-либо клинические проявления. Более подвержены возникновению кист лица мужского пола.
Классификация
Этиологическая классификация учитывает происхождение арахноидальных церебральных кист. По своему происхождению они могут быть первичными, или врожденными, и вторичными, или приобретенными. Первичные кисты относятся к аномалиям развития головного мозга, вторичные возникают как следствие травматических повреждений, воспалительных процессов или кровотечений, происходящих в церебральных оболочках.
Морфологически выделяют простые и сложные арахноидальные кисты. В первом случае полость кисты выслана клетками арахноидальной оболочки, имеющими способность продуцировать цереброспинальную жидкость. Во втором случае в структуру кисты входят и другие ткани, например, глиальные элементы. Морфологическая классификация арахноидальных кист не имеет актуального значения в практической неврологии, в то время как этиологическая классификация обязательно учитывается при постановке развернутого диагноза.
Клинически арахноидальные кисты подразделяют на прогрессирующие и замершие. Прогрессирующие кисты отличаются нарастанием неврологической симптоматики, обусловленным увеличением объема кисты. Замершие кисты не увеличиваются в размерах и обычно имеют латентное течение. Определение вида арахноидальной кисты в соответствии с данной классификацией имеет первостепенное значение для выбора адекватной тактики лечения.
Причины
Врожденные арахноидальные кисты формируются вследствие нарушений в процессе внутриутробного развития головного мозга. К факторам, обуславливающим их образование, относятся различные вредоносные воздействия на плод, происходящие в период беременности. Это могут быть внутриутробные инфекции (токсоплазмоз, краснуха, герпес, цитомегалия и тд ), интоксикации (профессиональные вредности, алкоголизм, курение, наркомания, прием фармпрепаратов с тератогенным эффектом), радиоактивное облучение, перегревание (посещение беременной женщиной сауны или бани, избыточная инсоляция, привычка принимать горячие ванны). Кисты, локализующиеся в арахноидальной оболочке, зачастую отмечаются у пациентов с синдромом Марфана и гипогенезией мозолистого тела.
Приобретенные арахноидальные кисты возникают после черепно-мозговых травм (сотрясения головного мозга, ушиба головного мозга), а также могут являться следствием операций на головном мозге. Формирование вторичной кисты возможно после перенесенного менингита, арахноидита или менингоэнцефалита. Образование арахноидальной кисты может наблюдаться после разрешения субарахноидального кровоизлияния или субдуральной гематомы. Факторы, способные спровоцировать формирование арахноидальной кисты, могут также вызвать прогрессирующий рост объема ранее существующего в арахноидальной оболочке небольшого субклинического кистозного образования за счет гиперпродукции и скопления в нем цереброспинальной жидкости.
Читайте также: Атерома мкб 10 коды болезней
Симптомы
В большинстве случаев арахноидальная киста головного мозга имеет незначительный объем и никак не проявляет себя клинически. Врожденная киста может быть случайной находкой при выполнении нейросонографии через родничок или МРТ головного мозга в связи с другой интракраниальной патологией. Возможен ее клинический дебют при инфекционном, сосудистом или травматическом поражении головного мозга.
При увеличении количества находящегося внутри кисты ликвора и соответственно размеров самой кисты появляются симптомы повышенного внутричерепного давления и очаговые неврологические проявления, характер которых зависит от места расположения кисты. Пациента беспокоят головные боли (цефалгии), периодическое головокружение, шум в ушах, ощущение «тяжелой головы», иногда — чувство «пульсации» в голове, неустойчивость ходьбы.
С нарастанием объема кисты происходит усугубление указанной симптоматики. Цефалгия приобретает постоянный и интенсивный характер, сопровождается тошнотой, давлением на глазные яблоки, рвотой. Возможны развитие тугоухости (падения слуха), понижение остроты зрения, двоение или возникновение «пятен» в полях зрения, онемение тех или иных конечностей, вестибулярная атаксия, дизартрия. Могут отмечаться гемипарезы — снижение мышечной силы в руке и ноге одной половины тела. Нередки эпизоды возникновения судорожных приступов и синкопальных состояний (обмороков). В отдельных случаях наблюдается галлюцинаторный синдром. У детей появляется задержка психического развития.
Галлюцинации. Рвота. Слабость мышц (парез). Судороги. Тонико-клонические судороги. Тошнота. Шум в ушах.
Диагностика
Клиника арахноидальной кисты не имеет специфичных проявлений и соответствует клинической картине, общей для большинства объемных образований головного мозга. К последним относятся внутримозговые и оболочечные гематомы, первичные и метастатические опухоли мозга, абсцесс головного мозга, внутримозговая киста. Осмотр невролога и первичное неврологическое обследование (электроэнцефалография, реоэнцефалография и эхо-энцефалография) позволяют установить наличие интракраниального образования с внутричерепной гипертензией и существующую судорожную активность головного мозга. Для уточнения характера объемного образования и его локализации необходимо проведение МРТ, СКТ головного мозга или КТ.
Оптимальным диагностическим методом для распознавания арахноидальных кист выступает МРТ головного мозга с контрастированием. Использование контрастных веществ позволяет отдифференцировать кисту от опухоли головного мозга. Основным критерием арахноидальной кисты, отличающим ее от опухоли, является отсутствие способности накапливать контраст. При помощи МРТ проводится дифференциальная диагностика с субдуральной гематомой, субарахноидальным кровоизлиянием, субдуральной гигромой, абсцессом, инсультом, энцефалитом и тд церебральными заболеваниями.
Лечение
Замершие арахноидальные кисты с субклиническим течением не нуждаются в терапии. Пациентам рекомендовано наблюдение невролога и ежегодное прохождение МРТ для динамического контроля размеров кисты. Прогрессирующие арахноидальные кисты, кисты, сопровождающиеся эпилепсией и/или значительным повышением внутричерепного давления, не купируемым консервативными методами терапии, подлежат хирургическому лечению. Для решения вопроса о целесообразности хирургического лечения арахноидальной кисты и выборе оптимального способа его осуществления проводится консультация нейрохирурга.
При наличии кровоизлияния в область арахноидальной кисты и при ее разрыве показано полное иссечение кисты. Однако такой метод лечения является высоко травматичным и требует длительного восстановительного периода. Поэтому при отсутствии осложнений предпочтение отдается эндоскопическому вмешательству с т. Н. Фенестрацией кисты. Операция проводится через фрезевое отверстие и заключается в аспирации содержимого кисты с последующим созданием отверстий, соединяющих полость кисты с желудочком мозга и/или субарахноидальным пространством. В некоторых случаях применяют шунтирующую операцию — кистоперитонеальное шунтирование, в результате которой цереброспинальная жидкость из полости кисты оттекает в брюшную полость, где всасывается. Недостатком подобных операций является вероятность нарушения проходимости шунта.
Профилактика врожденных арахноидальных кист, как и предупреждение прочих пороков внутриутробного развития, включает корректное ведение беременности и соблюдение беременной специального охранительного режима, исключающего вредные воздействия на плод. Профилактикой приобретенных арахноидальных кист выступает правильное и своевременное лечение травм, воспалительных и сосудистых церебральных заболеваний.







