С заболеваниями тазобедренного сустава чаще всего сталкиваются люди пожилого возраста. Это связано с естественным старением организма и ухудшением питания хрящевой ткани. Одной из достаточно распространенных патологий является артрозо-артрит тазобедренного сустава. Заболевание характеризуется сильными болями и ограничением двигательной активности и требует своевременного лечения, в противном случае может привести к инвалидности.
Что такое артрозо-артрит?
Артрозо-артрит поражает хрящевые ткани суставов
Артрозо-артрит – это заболевание, поражающее одновременно сустав и хрящевую ткань. Для болезни характерны симптомы, причины развития и клиническое течение сразу двух заболеваний – артрита и артроза.
Артритом называется воспаление суставной капсулы. Патология может быть связана с полученными раннее травмами, перенесенными инфекционными заболеваниями, аутоиммунными нарушениями. Артрит часто выступает следствием подагры или псориаза. Патология проявляется в любом возрасте и связана с особенностями функционированию иммунной системы, так как воспаление в суставе начинается из-за выделения специфических антител, вызывающих реакцию.
Артроз – это дегенеративно-дистрофическое заболевание, которое поражает хрящевую прослойку, расположенную в месте сочленения костей. Эта прослойка играет важнейшую роль – обеспечивает нормальную подвижность сустава, амортизирует сустав при ходьбе, защищает кости от трения. Основные причины развития артроза – сильные нагрузки, малоподвижный образ жизни, избыточный вес, нарушение питания хряща вследствие травм.
Если артрит диагностируется у людей всех возрастных категорий, артроз больше характерен для пожилых пациентов, так как одним из факторов его развития выступает естественная изношенность хрящевой ткани.
Оба заболевания характеризуются болевым синдромом и нарушением подвижности пораженного сочленения.
Артрозо-артрит тазобедренного сустава является достаточно распространенным заболеванием. Средний возраст пациентов – 50 лет и старше. Женщины чаще сталкиваются с патологией, чем мужчины, из-за особенностей обмена веществ, замедляющегося после наступления менопаузы.
Поражение тазобедренного сустава связано с повышенной нагрузкой на это сочленение. В организме человека наиболее уязвимы суставы, которые принимают участие в движении – это тазобедренный, коленный и голеностопный сустав.
Причины и провоцирующие факторы развития заболевания
Наличие хронических заболеваний может вызвать артрозо-артрит тазобедренного сустава
Основные причины артрозо-артрита тазобедренного сустава:
- естественная изношенность хрящевой ткани,
- избыточная масса тела,
- нарушения осанки, плоскостопие,
- врожденные аномалии строения опорно-двигательного аппарата,
- тяжелые вирусные и инфекционные заболевания,
- травмы и переохлаждение сустава,
- снижение иммунитета,
- нарушение обмена веществ,
- нарушение кровообращения в нижней части тела,
- хронические заболевания.
Хрящевая ткань тазобедренного сустава быстро изнашивается, поэтому примерно треть людей в возрасте старше 60 лет сталкиваются с теми или иными формами нарушения его функции. Одним из наиболее распространенных факторов, приводящих к развитию болезни, является наличие лишнего веса. При избыточной массе тела позвоночник испытывает сильную нагрузку во время движения. Это приводит к повышению нагрузки на тазобедренный сустав и увеличивает скорость изнашиваемости хрящевой ткани. Из-за этого также нарушается кровообращение в области таза и в нижних конечностях. Следствием является нарушение питания хряща, его постепенное истончение и разрушение.
Воспалительный процесс, характерный для артрита, развивается на фоне снижения иммунитета. Если человек недавно перенес инфекционное заболевание, риск развития артрита увеличивается. Также, при наличии хронического очага инфекции в организме, существует риск распространения болезнетворных агентов с током крови и инфицирование сустава. К развитию воспаления может привести сильное переохлаждение.
Травмы суставов, ушибы, переломы и другие повреждения выступают одним из факторов развития артрита. Случайное падение и ушиб тазобедренного сустава может стать причиной начала воспалительного процесса. Из-за особенностей строения этого сочленения, артрит и артроз часто развиваются одновременно, так как травмы тазобедренного сустава также приводят к нарушению местного кровообращения, вследствие чего хрящ не дополучает питательных веществ.
Читайте также: Двусторонний гнойный гайморит код по мкб
Группу риска развития болезни составляют люди старше 50 лет и профессиональные спортсмены.
Хронические заболевания, такие как сахарный диабет, подагра, псориаз, системная красная волчанка, склеродермия, сопровождаются нарушением кровообращения и изменениями в работе иммунной системы. Все этом может привести к развитию проблем опорно-двигательного аппарата, включая артрозо-артрит тазобедренного сустава.
Как видно, существует множество факторов, провоцирующих развитие болезни. К ним также можно отнести интоксикацию организма, хронические инфекционные заболевания и даже вредные привычки, которые ухудшают обмен веществ и кровообращение.
Симптомы заболевания
В международном классификаторе болезней МКБ-10 нет диагноза «артрит тазобедренного сустава». Тем не менее, этот диагноз широко распространен в отечественной медицине. Международная классификация болезней при артрозоартрите классифицируется по МКБ-10 как неуточненный артрит (М13.9) и коксартроз (М16).
Симптомы заболевания:
- ноющая боль в суставах,
- скованность движений по утрам,
- локальное онемение сустава после длительного бездействия,
- общее недомогание (усталость, повышение температуры),
- гиперемия,
- отек кожи вокруг пораженного сустава,
- хруст в суставе при отведении ноги в сторону.
В отличие от артрита, болевой синдром при котором проходит в течение дня, при артрозо-артрите тазобедренного сустава болевой синдром постоянен. Дискомфорт усиливается при нагрузке, что характерно для артроза, в течение дня присутствует выраженный отек, что является одним из основных симптомов артрита.
В тяжелых случаях болезнь приводит к выраженной деформации сустава.
Артрозо-артрит тазобедренного сустава сопровождается выраженным отеком бедра. Кожа вокруг пораженного сустава может отекать, краснеть, становиться горячей на ощупь.
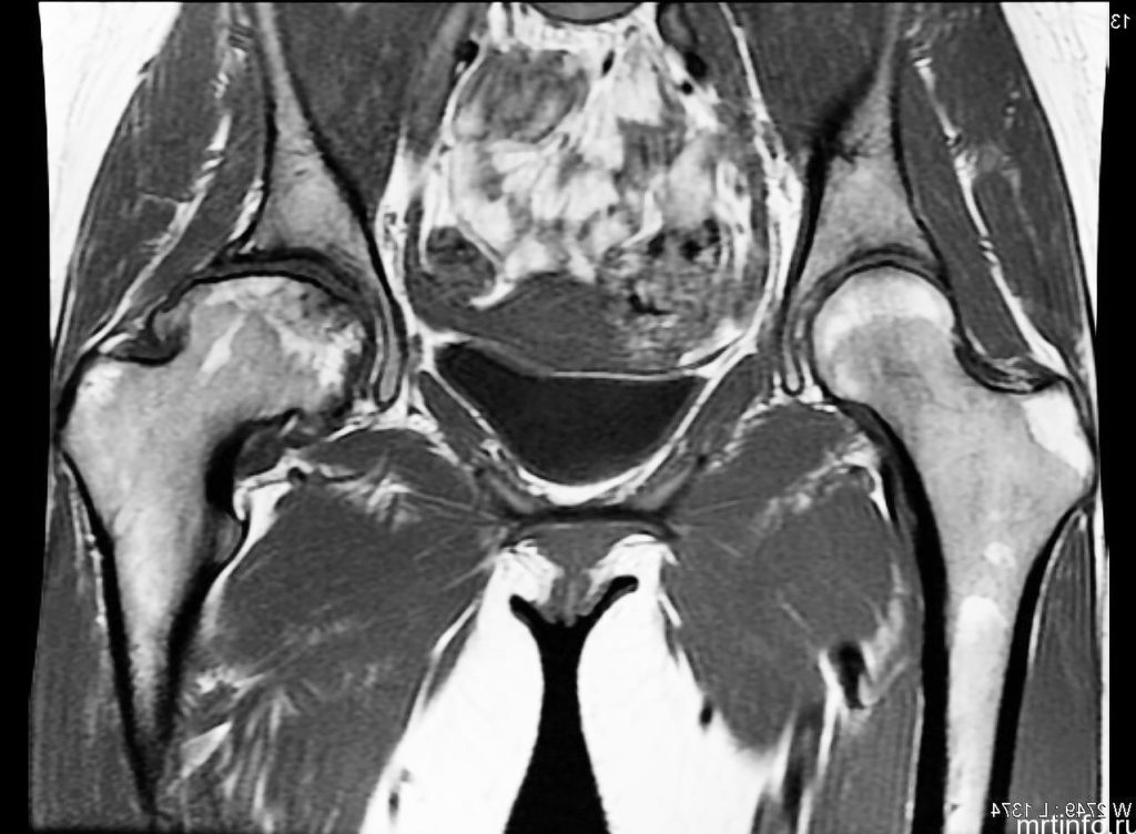
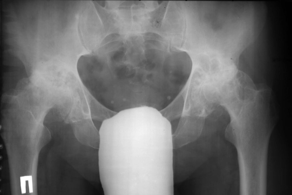
Диагностика
УЗИ, рентген и МРТ тазобедренного сустава обязательно при диагностировании артрозо-артрита
Для постановки диагноза необходимо обратиться к врачу-ревматологу. Необходимые обследования:
- анализ крови,
- рентген тазобедренного сустава,
- УЗИ сустава,
- МРТ или КТ.
Анализ крови сдается для определения самого факта наличия воспалительного процесса. Также проводится исследование уровня ревматоидного фактора. При наличии этого антигена в крови, ставится диагноз «ревматоидный артрит».
Рентген тазобедренного сустава позволяет выявить степень поражения костной и хрящевой ткани, а также точную локализацию и распространение патологического процесса.
УЗИ необходимо для исключения солевых отложений и остеофитов в суставной капсуле или вокруг сочленения костей. МРТ и КТ позволяет визуализировать степень повреждения хрящевой ткани.
Принцип лечения
Лечение артрозо-артрита тазобедренного сустава назначает только врач на основе обследований
Терапия при поражении сустава и лечения артрозо-артрита тазобедренного сочленения направлена на:
- восстановление питание хрящевой ткани,
- нормализацию обменных процессов в суставе,
- уменьшение отека,
- купирование воспалительной реакции,
- уменьшение болевого синдрома.
Для этого применяются как медикаментозные, так и немедикаментозные методы. Дополнительно назначают физиотерапию и массаж. Для восстановления двигательной функции пораженного болезнью сустава необходимо выполнять специальные упражнения.
Традиционные методы лечения
Консервативная терапия заключается в назначении следующих препаратов:
- нестероидные противовоспалительные средства,
- глюкокортикостероиды,
- сосудорасширяющие препараты,
- хондропротекторы,
- БАДы и витамины.
Нестероидные противовоспалительные средства – это препараты первой линии выбора при воспалительных патологиях суставов, сопровождающихся болевым синдромом. Лекарства этой группы купируют воспаление, уменьшают дискомфорт, устраняют симптомы общего недомогания, включая жар. Обычно применяют лекарства Диклофенак, Ибупрофен, Нимесулид в любых лекарственных формах – мази, таблетки или уколы.
Глюкокортикостероиды назначаются при выраженном воспалительном процессе, сопровождающимся сильным отеком. Эти лекарства небезопасны и допустимы к применению лишь в условиях стационара. Глюкокортикостероиды вводятся внутрисуставно.
Сосудорасширяющие лекарства необходимы для улучшения местного кровоснабжения. Они могут применяться как самостоятельное средство, либо в дополнение к физиотерапии.
Хондропротекторы – это группа препаратов, положительно влияющих на состояние хрящей. Эти лекарства повышают эластичность хряща, улучшают местные обменные процессы и укрепляют хрящевую ткань.
БАДы необходимы для ускорения регенерации сустава и хряща, витамины и минеральные комплексы применяются в качестве профилактического средства, во избежание прогрессирования болезни.
Физиотерапия
Лечение обязательно дополняется физиотерапией. При артрозо-артрите назначают:
- электрофорез с сосудорасширяющими препаратами,
- магнитотерапию,
- ультразвуковое лечение,
- грязелечение,
- фонофорез.
Выбор оптимального метода лечения осуществляется врачом. Физиотерапия назначается курсом, по 10-20 процедур. Такое лечение применяется только после купирования острого воспалительного процесса.
ЛФК при артрозо-артрите
Выполнение упражнений или лечебная гимнастика – важная часть лечения артрозо-артрита тазобедренного сустава. Это позволяет восстановить нормальное питание хряща и улучшить двигательную функцию больного сустава. Комплекс упражнений поможет избежать инвалидности.
ЛФК необходимо выполнять в специальном кабинете поликлиники, под контролем врача. Специалист составит оптимальную систему тренировок.
Простые упражнения можно выполнять и в домашних условиях. Они не требуют специальной физической подготовки, поэтому по силам каждому.
- Удобно лечь на живот, вытянув руки вдоль тела. Медленно поднять правую ногу, задержать в верхнем положении на несколько секунд, а затем опустить и поднять левую ногу.
- Лежа на животе, поднять обе ноги так высоко, как получится, и задержаться в верхнем положении на 15 секунд.
- Сесть на пол, вытянув прямые ноги перед собой. Плавно наклонить туловище к ногам, не отрывая их от пола, а затем медленно выпрямиться.
Все упражнения должны выполняться плавно, без усилий. Начать тренировку следует с пяти повторов каждого упражнения. Через неделю ежедневной зарядки количество повторов можно увеличить до 10.
Народные средства
Ускорить выздоровление помогут методы народной медицины. В домашних условиях разрешается использовать прогревания, солевые компрессы, примочки со спиртовой настойкой прополиса. Дополнительно можно принимать средства для укрепления иммунитета и противовоспалительные отвары.
Народные средства можно использовать только в дополнение к консервативным методам лечения.
Прогноз и осложнения
Самым опасным осложнением артрозо-артрита тазобедренного сустава является его деформация
Артрозо-артрит тазобедренного сустава не лечится, так как восстановить поврежденный хрящ консервативными методами не представляется возможным. Тем не менее своевременное лечение позволяет полностью восстановить подвижность в пораженном суставе, избавиться от боли и вернуть прежнюю легкость движений.
При отсутствии адекватной терапии болезнь может привести к деформации сустава и инвалидности.
Загрузка…




