Злокачественные новообразования первичные, неточно обозначенные и неуточненных локализаций
Рубрики C76-C80 включают злокачественные новообразования с неточно обозначенной первичной локализацией или те, которые определены как «диссеминированные», «рассеянные» или «распространенные» без указаний на первичную локализацию. В обоих случаях первичная локализация рассматривается как неизвестная.
Функциональная активность
К классу II отнесены как новообразования независимо от наличия или отсутствия у них функциональной активности. Если необходимо уточнить функциональную активность, ассоциирующуюся с тем или иным новообразованием, можно использовать добавочный код из класса IV. Например, катехоламинпродуцирующая злокачественная феохромоцитома надпочечников кодируется рубрикой C74 с добавочным кодом E27.5; базофильная аденома гипофиза с синдромом Иценко-Кушинга кодируется рубрикой D35.2 с добавочным кодом E24.0.
Морфология
Имеется ряд больших морфологических (гистологических) групп злокачественных новообразований: карациномы, включая плоскоклеточные и аденокарциномы; саркомы; другие опухоли мягких тканей, включая мезотелиомы; лимфомы (Ходжкина и неходжкинские); лейкоз; другие уточненные и специфические по локализации типы; неуточненные раки.
Термин «рак» является общим и может использоваться для любой из вышеуказанных групп, хотя он редко употребляется по отношению к злокачественным новообразованиям лимфоидной, кроветворной и родственных им тканей. Термин «карцинома» иногда неверно используется как синоним термина «рак».
В классе II новообразования классифицируются преимущественно по локализации внутри широких группировок, составленных на основе характера течения. В исключительных случаях морфология указывается в названиях рубрик и подрубрик.
Для желающих идентифицировать гистологический тип новообразования приведен общий перечень отдельных морфологических кодов. Морфологические коды взяты из второго издания Международной классификации болезней в онкологии (МКБ-О), которая представляет собой двухосную классифицированную систему, обеспечивающую независимое кодирование новообразований по топографии и морфологии.
Морфологические коды имеют 6 знаков, из которых первые четыре определяют гистологический тип, пятый указывает на характер течения опухоли (злокачественная первичная, злокачественная вторичная, т.е. метастатическая, in situ, доброкачественная, неопределенного характера), а шестой знак определяет степень дифференциации солидных опухолей и, кроме того, используется как специальный код для лимфом и лейкозов.
Использование подрубрик в классе II
Необходимо обратить внимание на особое использование в этом классе подрубрики со знаком .8 (см. примечание 5). Там, где необходимо выделить подрубрику для группы «другие», обычно используют, подрубрику .7.
Злокачественные новообразования, выходящие за пределы одной локализации, и использование подрубрики с четвертым знаком .8 (поражение, выходящее за пределы одной и более указанных локализаций)
Рубрики C00-C75 классифицируют первичные злокачественные новообразования в соответствии с местом их возникновения. Многие трехзначные рубрики далее подразделяются на подрубрики в соответствии с различными частями рассматриваемых органов. Новообразование, которое захватывает две или более смежные локализации внутри трехзначной рубрики и место возникновения которого не может быть определено, следует классифицировать подрубрикой с четвертым знаком .8 (поражение, выходящее за пределы одной и более вышеуказанных локализаций), если такая комбинация специально не индексируется в других рубриках. Например, карцинома пищевода и желудка обозначается кодом C16.0 (кардия), в то время как карциному кончика и нижней поверхности языка необходимо кодировать подрубрикой C02.8. С другой стороны, карциному кончика языка с вовлечением нижней его поверхности следует кодировать в подрубрике C02.1, так как место возникновения (в данном случае кончик языка) известно.
Читайте также: Кератит травматический код мкб
Понятие «поражение, выходящее за пределы одной и более вышеуказанных локализаций» подразумевает, что вовлеченные области являются смежными (одна продолжает другую). Последовательность нумерации подрубрик часто (но не всегда) соответствует анатомическому соседству локализаций (например, мочевой пузырь C67.–), и кодировщик может быть вынужден обратиться к анатомическим справочникам, чтобы определить топографическую взаимосвязь.
Иногда новообразование выходит за пределы локализаций, обозначенных трехзначными рубриками внутри одной системы органов. Для кодирования таких случаев предназначены следующие подрубрики:
- C02.8 Поражение языка, выходящее за пределы одной и более вышеуказанных локализаций
- C08.8 Поражение больших слюнных желез, выходящее за пределы одной и более вышеуказанных локализаций
- C14.8 Поражение губ, полости рта и глотки, выходящее за пределы одной и более вышеуказанных локализаций
- C21.8 Поражение прямой кишки, заднего прохода [ануса] и анального канала, выходящее за пределы одной и более вышеуказанных локализаций
- C24.8 Поражение желчных путей, выходящее за пределы одной и более вышеуказанных локализаций
- C26.8 Поражение органов пищеварения, выходящее за пределы одной и более вышеуказанных локализаций
- C39.8 Поражение органов дыхания и внутригрудных органов, выходящее за пределы одной и более вышеуказанных локализаций
- C41.8 Поражение костей и суставных хрящей, выходящее за пределы одной и более вышеуказанных локализаций
- C49.8 Поражение соединительной и мягких тканей, выходящее за пределы одной и более вышеуказанных локализаций
- C57.8 Поражение женских половых органов, выходящее за пределы одной и более вышеуказанных локализаций
- C63.8 Поражение мужских половых органов, выходящее за пределы одной и более вышеуказанных локализаций
- C68.8 Поражение мочевых органов, выходящее за пределы одной и более вышеуказанных локализаций
- C72.8 Поражение головного мозга и других отделов центральной нервной системы, выходящее за пределы одной и более вышеуказанных локализаций
В качестве примера можно указать карциному желудка и тонкой кишки, которую следует кодировать в подрубрике C26.8 (поражение органов пищеварения, выходящее за пределы одной и более вышеуказанных локализаций).
Злокачественные новообразования эктопической ткани
Злокачественные новообразования эктопической ткани следует кодировать в соответствии с упомянутой локализацией. Например, эктопия поджелудочной железы злокачественным новообразованием яичников кодируются как образование яичника (C56).
Использование Алфавитного указателя при кодировании новообразований
При кодировании новообразований в дополнение к их локализации следует учитывать морфологию и характер течения заболевания и прежде всего необходимо обратиться к Алфавитному указателю для морфологического описания.
Использование второго издания Международной классификации болезней в онкологии (МКБ-0)
Для некоторых морфологических типов класс II предоставляет довольно узкую топографическую классификацию или вовсе не дает таковой. Топографические коды МКБ-0 используются для всех новообразований по существу с помощью тех же трех- и четырехзначных рубрик, которые используются в классе II для злокачественных новообразований (C00-C77, C80), тем самым обеспечивая большую точность локализации для других новообразований [злокачественных вторичных (метастатических), доброкачественных, in situ, неопределенного или неизвестного характера].
Читайте также: Дуоденальный рефлюкс код по мкб 10
Таким образом, учреждениям, заинтересованным в определении локализации и морфологии опухолей (таким, как регистры рака, онкологические больницы, патологоанатомические отделения и другие службы, специализирующиеся в области онкологии), следует пользоваться МКБ-0.
Содержание
- Описание
- Дополнительные факты
- Анатомия и патанатомия
- Симптомы
- Диагностика
- Лечение
Названия
Название: Доброкачественные опухоли плевры.
Доброкачественные опухоли плевры
Описание
Доброкачественные опухоли плевры включают новообразования различного тканевого происхождения с относительно благоприятным течением, произрастающие из листков висцеральной и париетальной плевры — серозной оболочки легких. По мере своего роста доброкачественные опухоли плевры вызывают появление болей в грудной клетке, сухого кашля, одышки, субфебрилитета, экссудата в плевральной полости, межреберной невралгии. Диагностическая тактика при опухолях плевры включает рентгенологическое и томографическое обследование, плевроскопию, пункцию новообразования с цитологическим исследованием материала. Во избежание малигнизации любые опухоли плевры подлежат оперативному удалению.
Дополнительные факты
Плевра является серозным покровом, выстилающим грудную полость, легкие, средостение, диафрагму. Плевра состоит из двух листков: висцерального (легочного), непосредственно прилежащего с легкому, и париетального (пристеночного), выстилающего внутреннюю поверхность грудной полости. В париетальном листке выделяют реберную, диафрагмальную и медиастинальную плевру, в соответствии с теми участками, к которым прилежит серозная оболочка. Между париетальным и висцеральным листками плевры расположено замкнутое щелевидное пространство — плевральная полость, содержащая 1-2 мл серозной жидкости, за счет которой происходит скольжение плевральных листков относительно друг друга при дыхательных движениях.
Морфологически плевра представлена несколькими слоями: мезотелиальным слоем, пограничной мембраной, поверхностным коллагеновым слоем, поверхностной эластической сетью (окончатой мембраной), глубокой эластической сетью и глубоким решетчатым коллагеновым слоем, содержащим гладкомышечные волокна, лимфатические сосуды, вены, мелкие артерии и капилляры. Такое многослойное строение плевры обусловливает морфологическую неоднородность опухолей плевры, встречающихся в пульмонологии и торакальной хирургии.
Доброкачественные опухоли плевры
Анатомия и патанатомия
Большинство доброкачественных опухолей плевры являются мезенхимальными по происхождению и развиваются из субмезотелиального слоя плевры. Исходной тканью для опухолей плевры также может служить мезотелий, соединительнотканные волокна, эндотелий лимфатических и кровеносных сосудов. Среди доброкачественных опухолей плевры встречаются мезотелиомы фиброзного типа, фибромы, липомы, фибромиомы, фибролипомы, лимфангиоэндотелиомы, невриномы, хондромы, остеофибромы, ангиомы и тд Доброкачественные опухоли плевры развиваются в 10 раз реже, чем злокачественные.
Доброкачественные опухоли плевры, как правило, имеют вид четко отграниченного одиночного узла; при наличии ножки опухоли обладают достаточной подвижностью. Характер роста определяет особенности хирургической тактики при удалении опухолей плевры. Фиброма плевры чаще исходит из ее висцерального листка, имеет ножку либо связана со своим широким основанием посредством рыхлой соединительной клетчатки. Удаление фибромы обычно не вызывает технических затруднений.
Липома плевры произрастает из подплевральной жировой клетчатки и связана с париетальным листком серозной оболочки. Рост липомы в направлении межреберного пространства сопровождается выбуханием опухоли плевры над поверхностью грудной клетки в виде пальпируемого узла. В этом случае для радикальной резекции необходимо выделение всего конгломерата опухоли до плевры.
Доброкачественная фиброзная мезотелиома, в отличие от злокачественных мезотелиом брюшины, плевры, перикарда, яичка, не имеет этиопатогенетической связи с воздействием асбеста. Макроскопически доброкачественный тип мезотелиомы представлен плотной солитарной инкапсулированной опухолью, имеющей на разрезе желтоватый цвет. Микроскопическое строение доброкачественной мезотелиомы соответствует многоклеточной фиброме. Данный тип опухоли чаще исходит из париетальной плевры. При удалении мезотелиомы прибегают к резекции париетальной плевры на протяжении.
Читайте также: Код мкб травма пальца
Симптомы
Локализованные опухоли плевры небольших размеров обычно протекают бессимптомно. Клинические проявления опухолей плевры, как правило, развиваются при достижении ими больших размеров, что влечет за собой смещение органов грудной полости и средостения. В этом случае возникают боли в грудной клетке, чувство стеснения в груди, одышка, сухой кашель, субфебрильная температура тела.
Нередко у больных с опухолью плевры развивается гипертрофическая остеоартропатия — утолщение ногтевых фаланг по типу «барабанных палочек». Компрессия прилежащих органов большими по величине опухолями плевры сопровождается межреберной невралгией, синдромом верхней полой вены. Эти симптомы самопроизвольно исчезают после удаления опухоли плевры. Экссудативный плеврит при доброкачественных опухолях плевры развивается редко.
Боль в груди слева. Боль в грудной клетке. Глубокий сухой кашель. Кашель. Одышка.
Диагностика
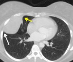
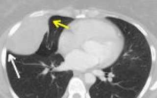
Доброкачественные опухоли плевры обычно выявляются при рентгенологическом исследовании (полипозиционной рентгенографии грудной клетки, рентгеноскопии легких). На рентгенограммах определяется полукруглая или полуовальная гомогенная тень с четкими очертаниями, прилежащая своим широким основанием к тени ребер, реже — диафрагмы либо средостения. При рентгеноскопии легких хорошо видно, как опухоль, исходящая из париетальной плевры, при дыхании смещается вместе с ребрами. Структура ребер, как правило, не изменена прилежащими к ним доброкачественными опухолями плевры.
Уточняющая роль в диагностике опухолей плевры отводится КТ и МРТ легких, УЗИ плевральной полости. Под контролем КТ или УЗИ проводится пункционная биопсия плевры с последующим исследованием биоптата; при наличии экссудата выполняется плевральная пункция. При недоступности опухоли плевры для трансторакальной биопсии прибегают к диагностической торакоскопии (плевроскопии).
Проведение бронхоскопии, бронхографии, микроскопического исследования мокроты при опухолях плевры не информативно. На диагностическом этапе доброкачественные опухоли плевры дифференцируют со злокачественными новообразованиями серозной оболочки, периферическим раком легкого, осумкованным плевритом.
Лечение
Ввиду возможности компрессии органов и сосудов грудной полости, а также во избежание риска малигнизации доброкачественные опухоли плевры подлежат оперативному удалению. В последнее время широко применяются малоинвазивные методики оперирования с использованием видеоторакоскопической аппаратуры. В послеоперационном периоде с помощью оставленных в плевральной полости дренажей осуществляют контроль гемостаза и полного расправления легкого.
В дальнейшем пациенты, перенесшие удаление доброкачественных опухолей плевры, не нуждаются в лучевом или химиотерапевтическом лечении. Однако они подлежат периодическому (каждые 6 мес. В течение 2-х лет) рентгенологическому обследованию и наблюдению пульмонолога (торакального хирурга). Это связано с тем, что некоторые опухоли плевры, чаще смешанного строения, а также фиброзные мезотелиомы склонны к рецидиву, иногда – к малигнизации, что требует повторного хирургического вмешательства.

