Что это за болезнь?
Периостит– это развитие воспалительного процесса в надкостнице. В большинстве случаев заболевание протекает остро (95%) и редко в хронической форме (5%). Из всех воспалительных заболеваний челюсти эта патология выявляется у 5-6% пациентов.
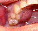
Так выглядит периостит на верхней челюсти (фото)
В народе из-за развития отека на лице периостит зуба часто называютфлюсом. Этот термин пришло в обиход русских людей из Германии, в переводе оно означает – «движение, поток«. Эти слова хорошо отражают механизм развития болезни, инфицирование челюсти обычно происходит из-за попадания микробов, локализующихся в больных зубах (кариозных или пульпитных ) или десен (при периодонтитах).
При своевременном обращении к врачу воспалительный процесс в надкостнице хорошо поддается терапии.
Затягивать с лечением флюса нельзя, развивается он стремительно и может дать серьезные осложнения:
- абсцесс (образование больших скоплений гнойного экссудата в полостях и его прорыв наружу);
- расслоение надкостницы;
- флегмону (поражение подкожной клетчатки);
- пропитывание костных и мягких тканей гноем и их отмирание (некроз);
- распространение процесса на близлежащие органы (глаза, уши, головной мозг, шею);
- общее заражение крови (сепсис).
Код по МКБ-10
По международной классификации болезней периостит включен в группу патологий, связанных с развитием воспалительных изменений в верхней или нижней челюсти и имеет код – К10.2.
Основным механизмом развития периостита медики считают миграцию патогенной флоры из каналов больных зубов. Это одонтогенный путь передачи инфекции, при нем первичное воспаление локализовано в пародонте, а при нарушении его целостности микробы попадают в надкостницу.
Одонтогенный периостит: фото
Патологический процесс в самом зубе может протекать достаточно длительно, бактерии вначале поражают дентин, а затем начинают разрушать саму пульпу – так создаются благоприятные условия для размножения и миграции бактерий в соседние ткани и возникает очаг нагноения в надкостнице.
Из-за высокой восприимчивости к инфицированию воспаление быстро охватывает все ее слои (наружный и внутренний) и нагноение может из ограниченного очага распространиться на всю челюсть, что приводит к остеопериоститу.
Причины возникновения
1. Заболевания зубов и десен. Наиболее часто периостит возникает на фоне:
- периодонтита в хронической форме (73%);
- альвеолита (18%);
- ретинированных зубов мудрости (5%), т.е. зубов которые располагаются под слизистой оболочкой, не прорезаются совсем или прорезаются частично;
- пародонтита, пародонтоза, кист челюсти (4%).
2. Воспалительные заболевания полости рта и носоглотки (фарингиты, ангины, аденоидиты, стоматиты, гингивиты, гаймориты, риниты).
3. Болезни слухового аппарата (отиты, евстахииты, мастоидиты).
4. Осложнения после вирусных (гриппа, аденовирусной инфекции, кори, краснухи, герпеса) или бактериальных (скарлатины, туберкулеза, сифилиса и др.) инфекций.
5. Травмы лица и челюсти (вывихи, ушибы, открытые и закрытые переломы).
6. Патологии костной системы (остеомиелиты, остеопороз, анатомические дефекты челюсти).
7. Гнойные заболевания лица (фурункулез, карбункулы).
8. Лимфаденит.
9. Иммунодефициты.
10. Осложнение после стоматологических манипуляций (удаления, лечения или протезирования зубов) или при ношении неподходящих зубных протезов.
К факторам риска развития болезни относятся:
- переохлаждение;
- стресс;
- прогрессирующие острые и хронические заболевания в организме;
- плохая гигиена полости рта и используемой посуды;
- пренебрежение к правилам обработки пиши (потребление грязных овощей и фруктов);
- дурные привычки (обкусывание ногтей, сосание пальцев);
- эмоциональные потрясения, стрессы;
- недостаток кальция в организме, протекающий с размягчением костей.
Виды
Стоматологи классифицируют это заболевание относительно его этиологии (происхождения), путей передачи инфекции, патологического выпота и т.д.
1. По течению процесса выделяют:
- острый периостит, развивающийся быстро и проходящий с лечением за неделю;
- хронический, протекает вяло и характеризуется сменой периодов обострения на периоды затихания воспалительного процесса, со временем инфильтрат в челюсти начинает окостеневать, а в костях накапливается избыточное количество твердых отложений.
2. По площади поражения различают:
- очаговый периостит, когда воспаление имеет четкие границы;
- диффузный, при нем поражается вся надкостница.
3. По расположению выделяют периостит нижней челюсти и верхней челюсти.
Чаще встречается второй вариант развития болезни, что объясняется тем, что под воздействием силы тяжести микробам или гною легче распространяться нисходящим путем.
4. По характеру выпота выделяют:
- острый серозный периостит, протекает мягко со скоплением прозрачной или мутноватой жидкости в надкостном пространстве, общее состояние больных удовлетворительное;
- острый гнойный периостит, характеризуется образованием гнойных очагов, его течение агрессивное и стремительное, пациенты жалуются на сильные боли в челюсти, выраженное недомогание, температуру.
Симптомы
Клиническая картина болезни зависит от многих факторов и особенностей воспалительного процесса.
Однако, можно выделить основные признаки заболевания, характерные для всех его форм:
- отек на лице и его покраснение;
- увеличение подчелюстных лимфоузлов;
- боли и дискомфорт в челюсти;
- изменения самочувствия от незначительных до выраженных (слабости, лихорадки, головокружений).
При осмотре врач выявляет:
- отек губ при поражении верхних резцов;
- припухлость щек, подглазной или скуловой зоны при воспалении премоляров и верхних клыков;
- отек возле уха при инфицировании верхних моляров;
- припухлость нижней губы и подбородка при поражении зубов нижней челюсти.
Осматривая ротовую полость, стоматолог может увидеть отечность и красноту вокруг причинного зуба.
При хроническом периостите диагностируются:
- изменения надкостницы (расплавление, нарастание новых слоев, разрыхление тканей);
- периодическое появление поднадкостнических абсцессов и (или) свищей.
Лечение
Терапия периостита может проводится консервативными или хирургическими методами или с их сочетанием.
1. Медикаментозное лечение. Прием антибактериальных препаратов широкого спектра действия (цефалоспоринов, пенициллинов, макролидов), антигистаминных, противоотечных, жаропонижающих и обезболивающих средств, а также постоянные полоскания полости рта асептическими растворами.
2. Оперативное вмешательство состоит:
- во вскрытии гнойников;
- в санации полости в зоне воспаления;
- в установке дренажа.
При тотальном разрушении причинного зуба назначают его удаление.
3. Восстановительные процедуры: ультразвук, флюктуоризация, лазеротерапия, электрофорез.
Прогноз при периостите благоприятный, своевременное лечение полностью избавляет пациентов от проблемы.
Видео:
Содержание
- Описание
- Дополнительные факты
- Классификация
- Причины
- Симптомы
- Диагностика
- Лечение
- Прогноз
- Профилактика
Названия
Название: Периостит челюсти.
Периостит челюсти
Описание
Периостит челюсти. Инфекционно — воспалительный процесс с локализацией очага в надкостнице альвеолярного отростка либо тела челюсти. Периостит челюсти сопровождается формированием поднадкостничного абсцесса; отеком околочелюстных мягких тканей; болью с иррадиацией в ухо, висок, глаз; ухудшением общего самочувствия (слабостью, повышенной температурой тела, головной болью, нарушением сна). Диагноз периостита челюсти устанавливается на основании данных осмотра и пальпации, подтвержденных рентгенологически. Лечение периостита челюсти включает вскрытие и дренирование поднадкостничного абсцесса, удаление зуба-источника инфекции, физиотерапию, полоскания полости рта, антибиотикотерапию.
Читайте также: Код мкб прикорневая пневмония
Дополнительные факты
Периостит челюсти — воспаление периоста (надкостницы) альвеолярной дуги, реже – тела верхней или нижней челюсти инфекционного или травматического генеза. В хирургической стоматологии периостит челюстей диагностируется у 5,4% пациентов с воспалительными заболеваниями челюстно-лицевой области; при этом в 95% случаев периостальное воспаление протекает в острой форме и лишь в 5% — в хронической. Примерно в 1,5-2 раза чаще периостит локализуется в области нижней челюсти. Течение периостита челюстей характеризуется своеобразием местной и общей клинической картины, обратимостью воспалительного процесса при своевременном лечении и высоким риском возникновения тяжелых гнойных осложнений при прогрессирующем варианте развития.
Периостит челюсти
Классификация
В зависимости от пути проникновения инфекции в надкостницу различают следующие формы периостита челюсти: одонтогенный (обусловленный заболеванием зубов), гематогенный (обусловленный распространением инфекции по кровеносному руслу), лимфогенный (обусловленный распространением инфекции по лимфатическим путям), травматический (обусловленный повреждением надкостницы). С учетом клинического течения и патоморфологической картины воспаления периостит челюсти может быть острым (серозным или гнойным) и хроническим (простым или оссифицирующим).
Острый серозный периостит челюсти сопровождается инфильтрацией надкостницы и скоплением в воспалительном очаге умеренного количества серозного экссудата. Острый гнойный периостит челюсти (флюс) протекает с формированием ограниченного поднадкостничного абсцесса, образованием свищей, через которые гной оттекает наружу.
Хронический периостит челюсти характеризуется вялотекущим инфекционно-воспалительным процессом в надкостнице, сопровождающимся образованием молодой костной ткани на поверхности челюстных костей. Если при простом периостите челюсти процесс новообразования костной ткани является обратимым, то при оссифицирующем быстро прогрессируют окостенение и гиперостоз. По степени распространения различают ограниченный (в области 1 или нескольких зубов) и диффузный (с охватом практически всей челюсти) гнойный периостит.
Причины
Чаще всего периостит челюсти имеет одонтогенное происхождение и возникает на фоне предшествующего заболевания зубов. В 73% случаев причиной периостита челюсти выступает хронический периодонтит. В 18% — альвеолит. В 5% — воспаление полуретинированных и ретинированных зубов мудрости; примерно в 4% — пародонтит и нагноившаяся киста челюсти. В этих случаях воспалительный экссудат перемещается из периодонта под надкостницу по костным канальцам губчатого и компактного слоя челюстной кости.
Гематогенный и лимфогенный периостит челюстей обычно развивается после перенесенной ангины, тонзиллита, отита, гриппа, ОРВИ, скарлатины, кори. Такой путь распространения инфекции чаще всего имеет место у детей. Травматический периостит челюсти может являться следствием удаления сложного зуба, хирургического вмешательства, травмы зубов, открытых переломов челюсти, инфицированных ран мягких тканей лица и пр.
У большинства пациентов прослеживается связь периостита челюстей с предшествующим переохлаждением или перегреванием, эмоциональным или физическим перенапряжением. При исследовании воспалительного экссудата при гнойных периоститах челюсти обнаруживается смешанная анаэробная (75%) и аэробная (25%) микрофлора, представленная стрептококками, стафилококками, грамположительными и грамотрицательными палочками, гнилостными бактериями.
Симптомы
Течение периостита челюсти зависит от формы и локализации воспаления, реактивности организма пациента. Острый серозный периостит челюсти характеризуется, главным образом, местными проявлениями: отечностью мягких тканей, гиперемией слизистой в области переходной складки, регионарным лимфаденитом. В полости рта обычно имеется «причинный» зуб с пульпитом или периодонтитом, а периостальное воспаление носит реактивный характер.
Острый гнойный периостит может являться самостоятельной патологией или служить ведущим симптомом остеомиелита челюсти. Данная клиническая форма сопровождается ухудшением общего самочувствия: слабостью, субфебрилитетом, ознобом, головной болью, нарушением сна и аппетита. Больные отмечают резкую локальную боль в области челюсти с иррадиацией в ухо, висок, глазницу, шею; болезненность при открывании рта, ограничения движения челюсти, патологическую подвижность больного зуба.
При осмотре выявляется припухлость щеки, изменение конфигурации лица за счет отека мягких тканей околочелюстной области. Отечность при гнойном периостите челюсти имеет характерную локализацию: так, при поражении области верхних резцов возникает припухлость верхней губы; при поражении верхних клыков и премоляров – щечной, скуловой, подглазничной областей; верхних моляров — околоушно-жевательной области. При периостите нижней челюсти отек распространяется на нижнюю губу и подбородок.
При периостите челюсти также обнаруживаются изменения со стороны полости рта, включающие гиперемию слизистой оболочки, наличие плотного болезненного инфильтрата или валикообразной припухлости с очагом флюктуации — поднадкостничного абсцесса. В дальнейшем, по мере гнойного расплавления надкостницы, экссудат проникает под слизистую оболочку десны, образуя подслизистый (поддесневой) абсцесс, откуда гной может периодически изливаться через свищевое отверстие в полость рта, принося временное облегчение.
Озноб. Потеря веса.
Диагностика
При стоматологическом осмотре выявляются характерные клинические признаки периостита челюсти (гиперемия, инфильтрат, флюктуация и тд ). При одонтогенной инфекции в полости рта обычно имеется сильно разрушенная коронковая часть зуба, послужившего источником инфекции, с кариозной полостью и корневыми каналами, заполненные продуктами распада тканей. При перкуссии зуба отмечается болевая реакция.
С помощью рентгенографии при остром периостите челюстей изменений со стороны костной ткани не выявляется, однако могут быть обнаружены гранулематозный или гранулирующий периодонтит, одонтогенные кисты, ретинированные зубы и пр. При хроническом периостите челюстей рентгенологически определяется новообразованная костная ткань. Острый гнойный периостит челюсти следует разграничивать с острым периодонтитом, остеомиелитом, сиаладенитом, абсцессом, околочелюстной флегмоной, лимфаденитом, синуситом и тд.
Лечение
В стадии серозного воспаления проводится комплексное лечение пульпита или периодонтита, физиотерапия (УВЧ), полоскания полости рта дезинфицирующими средствами. Как правило, консервативных мер бывает достаточно для рассасывания инфильтрата.
Острый гнойный периостит челюсти требует хирургического лечения – вскрытия поднадкостничного или подслизистого абсцесса. Периостотомия производится под инфильтрационной или проводниковой анестезией через внутриротовой разрез. С целью обеспечения оттока гнойного экссудата рану дренируют марлевым или резиновым выпускником. В послеоперационном периоде показана щадящая диета, антисептические полоскания, прием антибиотиков, дезинтоксикационная, гипосенсибилизирующая, симптоматическая терапия.
К решению вопроса о целесообразности сохранения причинного зуба при остром периостите челюсти подходят дифференцированно: молочные и сильно разрушенные постоянные зубы требуют удаления; зубы, сохранившие функциональную ценность, подлежат лечению. С целью купирования воспалительных явлений назначается физиотерапия: УВЧ, флюктуоризация, ультразвук, лазеротерапия, электрофорез с гиалуронидазой. Выздоровление обычно наступает через 5-7 дней.
Лечение хронического периостита челюсти включает удаление зуба, медикаментозную и физиотерапевтическую терапию.
Читайте также: Экспульсия код мкб 10
Прогноз
При первых признаках периостита челюсти необходимо немедленно обратиться к стоматологу. В противном случае возможно развитие тяжелых по своим последствиям осложнений (остеомиелита, флегмоны шеи, сепсиса), представляющих угрозу для жизни пациента. Наиболее благоприятно протекает острый серозный периостит челюсти; гнойный периостит требует активной хирургической тактики.
Профилактика
Профилактика периостита челюсти заключается в своевременном лечении одонтогенных очагов (кариеса, пульпита, периодонтита), профессиональной гигиене полости рта, санации хронических гнойных очагов.









