Система классификации кариеса предназначена, чтобы упорядочить степень поражения. Она помогает подобрать методику для дальнейшего лечения.
Кариес – одно из самых известных и распространенных заболеваний зубов во всем мире. При обнаружении повреждений тканей требуется обязательное стоматологическое лечение, чтобы предотвратить дальнейшее разрушение элементов зубного ряда.
Общие сведения
Врачи не раз предпринимали попытки создать единую, универсальную систему классификаций заболеваний человека.
В итоге, в XX веке была разработана «Международная Классификация – МКБ». С момента создания единой системы (в 1948 году), она постоянно пересматривалась и дополнялась новыми сведениями.
Финальный, 10 по счету пересмотр был проведен в 1989 году (отсюда и название – МКБ-10). Уже в 1994 году Международную Классификацию начали использовать в странах, состоящих во Всемирной Организации Здравоохранения.
В системе все болезни распределены по разделам и помечены специальным кодом. Болезни полости рта, слюнных желез и челюстей K00-K14 относятся к разделу болезней пищеварительной системы K00-K93. В нем описаны все патологии зубов, не только кариес.
K00-K14 включает следующий список патологий, относящихся к поражениям зубов:
- Пункт K00. Проблемы с развитием и прорезыванием зубов. Адентия, наличие лишних зубов, аномалии внешнего вида зубов, крапчатость (флюороз и прочее потемнение эмали), нарушения формирования зубов, наследственное недоразвитие зубов, проблемы с прорезыванием.
- Пункт K01. Ретенированные (погруженные) зубы, т.е. изменившие положение во время прорезывания, при наличии или отсутствии препятствия.
- Пункт K02. Все виды кариеса. Эмали, дентина, цемента. Приостановившийся кариес. Обнажение пульпы. Одонтоклазия. Прочие виды.
- Пункт K03. Различные поражения твердых тканей зубов. Стираемость, сошлифовывание эмали, эрозия, гранулема, гиперплазия цемента.
- Пункт K04. Поражение пульпы и периапикальных тканей. Пульпит, дегенерация и гангрена пульпы, вторичный дентин, периодонтит (острый и хронический апикальный), периапикальный абсцесс с полостью и без нее, различные кисты.
- Пункт K06. Патологии десны и края альвеолярного гребня. Рецессия и гипертрофия, травмы альвеолярного края и десен, эпулис, атрофический гребень, различные гранулемы.
-
Пункт K07. Изменения прикуса и различные аномалии челюсти. Гиперплазия и гипопалзия, макрогнатия и микрогнатия верхней и нижней челюстей, асимметрия, прогнатия, ретрогнатия, все виды нарушения прикуса, скрученность, диастема, тремы, смещение и поворот зубов, транспозиция.
Неправильное смыкание челюстей и приобретенные нарушения прикуса. Болезни височно-нижнечелюстного сустава: разболтанность, щелканье при открывании рта, болевая дисфункция ВНЧС.
- Пункт K08. Функциональные проблемы с опорным аппаратом и изменение количества зубов из-за воздействия внешних факторов. Потеря зубов из-за травмы, удаления или болезни. Атрофия альвеолярного гребня из-за долгого отсутствия зуба. Патологии альвеолярного гребня.
Рассмотрим подробно раздел K02 Кариес зубов. Если пациент хочет узнать, что за запись сделал стоматолог в карте после лечения зуба, нужно найти код среди подразделов и изучить описание.
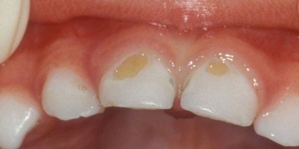
К02.0 Эмали
Начальный кариес или меловое пятно – первичная форма заболевания. На этой стадии еще нет повреждения твердых тканей, но уже диагностируется деминерализация и высокая восприимчивость эмали к раздражениям.
В стоматологии определяют 2 формы начального кариеса:
- Активная (белое пятно);
- Стабильная (коричневое пятно).
Кариес в активной форме при лечении может перейти или в стабильную, или полностью исчезнуть.
Коричневое пятно необратимо, избавиться от проблемы можно только препарированием с пломбированием.
Симптомы:
- Боль – для начальной стадии не характерна зубная боль. Однако, из-за того, что происходит деминерализация эмали (снижается ее защитная функция), на пораженном участке может ощущаться сильная восприимчивость к воздействиям.
- Внешние нарушения – видны при расположении кариеса на одном из зубов внешнего ряда. Выглядит как незаметное пятно белого или коричневого оттенка.
Лечение напрямую зависит от конкретной стадии заболевания.
Когда пятно меловое, то назначается реминерализирующее лечение и фторирование. Когда кариес пигментированный, то выполняется препарирование и пломбирование. При своевременном лечении и соблюдении гигиены рта ожидается положительный прогноз.
К02.1 Дентина
Во рту проживает огромное количество бактерий. В результате их жизнедеятельности происходит выделение органических кислот. Именно они виновны в разрушении базовых минеральных компонентов, из которых и состоит кристаллическая решетка эмали.
Кариес дентина – вторая стадия заболевания. Она сопровождается нарушением строения зуба с появлением впадины.
Однако дырка не всегда заметна. Нередко заметить нарушения удается только на приеме у стоматолога при вхождении зонда для диагностики. Иногда удается самостоятельно заметить кариес.
Симптомы:
- больному неудобно жевать;
- болевые ощущения от температур (холодная или горячая еда, сладкие продукты);
- внешние нарушения, которые особо видны на передних зубах.
Болевые ощущения могут быть спровоцированы одним или сразу несколькими очагами заболевания, но быстро проходят после устранения проблемы.
Существует всего несколько видов диагностики дентина — инструментальные, субъективные, объективные. Порой сложно обнаружить заболевание, исключительно по описанной пациентом симптоматике.
На этом этапе уже не обойтись без бормашины. Врач сверлит больные зубы и устанавливает пломбу. В процессе лечения специалист не только старается сохранить ткани, но и нерв.
К02.2 Цемента
В сравнении с повреждением эмали (начальная стадия) и дентинной, кариес цемента (корня) диагностируется сильно реже, но считается агрессивной и вредоносной для зуба.
Корень характеризуется сравнительно тонкими стенками, значит, болезни не нужно много времени для полного разрушения тканей. Все это может перерасти в пульпит или периодонтит, что иногда приводит к удалению зуба.
Клинические симптомы зависят от места концентрации очага заболевания. Например, при размещении причины в зубодесневой области, когда опухшая десна защищает корень от прочих воздействий, можно говорить о закрытой форме.
Читайте также: Киста придатка яичка у мужчин код мкб
При таком исходе не наблюдается яркая симптоматика. Обычно при закрытом расположении кариеса цемента нет никаких болей или они не выражены.
Фото удаленного зуба с кариесом цемента
При открытой форме кроме корня подвергнуться разрушению может и пришеечная область. Пациента могут сопровождать:
- Внешние нарушения (особенно выражено спереди);
- Неудобства во время приема пищи;
- Болевые ощущения от раздражителей (сладкое, температуры, при попадании пищи под десну).
Современная медицина позволяет избавиться от кариеса за несколько, а иногда и в один прием стоматолога. Все будет зависеть от формы заболевания. Если десна закрывает очаг, кровоточит или сильно мешает пломбированию, то в первую очередь выполняется коррекция десны.
После избавления от мягких тканей, пораженную область (после или без воздействия) временно пломбируют цементом и масляной дентинной. После заживления тканей пациент вновь приходит для повторного пломбирования.
К02.3 Приостановившийся
Приостановившийся кариес – стабильная форма начальной стадии заболевания. Она проявляется в виде плотного пигментного пятна.
Обычно такой кариес проходит бессимптомно, пациенты ни на что не жалуются. Обнаружить пятно удается при стоматологическом осмотре.
Кариес имеет темно-коричневый, иногда черный цвет. Поверхность тканей изучается зондированием.
Чаще всего очаг приостановившегося кариеса располагается в пришеечной части и естественных впадинах (ямках и др.).
Метод лечения зависит от различных факторов:
- Размеров пятна – слишком большие образования препарируют и пломбируют;
- От пожеланий больного – если пятно находится на внешних зубах, то повреждения устраняются фотополимерными пломбами, чтобы цвет совпадал с эмалью.
Малые плотные очаги деминерализации обычно находятся в течение временного отрезка с периодичностью в несколько месяцев.
Если зубы будут правильно очищены, а количество потребляемых пациентом углеводов, снизится, то может наблюдаться остановка будущего прогрессивного развития болезни.
Когда пятно растет и становится мягким, его препарируют и пломбируют.
К02.4 Одонтоклазия
Одонтоклазия – тяжелая форма поражения зубных тканей. Заболевание воздействует на эмаль, истончая ее и приводя к образованию кариеса. Никто не застрахован от одонтоклазии.
На появление и развитие повреждения влияет огромное количество факторов. К подобным предпосылкам относится даже плохая наследственность, регулярность гигиены области рта, хронические заболевание, скорость обмена веществ, вредные привычки.
Главный видимый симптом одонтоклазии – зубная боль. В некоторых случаях из-за нестандартной клинической формы или повышенного болевого порога пациент и этого не чувствует.
Тогда только стоматолог сможет поставить правильный диагноз во время осмотра. Главный визуальный признак, говорящий о проблемах с эмалью – повреждение зубов.
Эта форма заболевания, как и другие формы кариеса, поддается лечению. Врач сначала очищает пораженную область, затем пломбирует болезненный участок.
Избежать развития одонтоклазии поможет только качественная профилактика полости рта и регулярные осмотры у стоматолога.
K02.5 С обнажением пульпы
Разрушены все ткани зуба, в том числе пульповая камера – перегородка, отделяющая дентин от пульпы (нерва). Если стенка пульповой камеры прогнила, то инфекция проникает в мягкие ткани зуба и вызывает воспаление.
Пациент ощущает сильные боли при попадании пищи и воды в кариозную полость. После ее очищения боль отступает. Кроме того, в запущенных случаях появляется специфический запах изо рта.
Такое состояние считается глубоким кариесом и требует долгого дорогостоящего лечения: обязательное удаление «нерва», чистка каналов, пломбирование с применением гуттаперчи. Требуется несколько посещений стоматолога.
Подробности лечения всех видов глубокого кариеса описаны в отдельной статье.
Пункт добавлен в январе 2013 года.
К02.8 Другой вид
Другой кариес – средняя или глубокая форма заболевания, развивающаяся в ранее леченом зубе (рецидив или повторное развитие рядом с пломбой).
Средний кариес – это разрушения элементов эмали на зубах, сопровождаемое приступными или постоянными болевыми ощущениями в области очага. Они объясняются тем, что болезнь уже перешла на верхние слои дентина.
Форма требует обязательной стоматологической помощи, при которой врач удаляет пораженные области с последующим их восстановлением и пломбированием.
Глубокий кариес – форма, которая характеризуется обширным повреждением внутренних зубных тканей. Она поражает значительную область дентина.
Нельзя игнорировать болезнь на этой стадии, а отказ от лечения может привести к повреждению нерва (пульпы). В дальнейшем, если не воспользоваться медицинской помощью развивается пульпит или периодонтит.
Участок, подвергнувшийся воздействую, полностью удаляется с последующим восстановительным пломбированием.
К02.9 Неуточнённый
Неуточненый кариес – болезнь, которая развивается не на живых, а на депульпированных зубах (те, у которых удален нерв). Причины образования такой формы не отличаются от стандартных факторов. Обычно неуточненный кариес возникает на стыке пломбы и зараженного зуба. Его появление в прочих местах полости рта наблюдается гораздо реже.
Тот факт, что зуб мертвый, не защищает его от развития кариеса. Зубы зависят от наличия сахара, проникающего в ротовую полость вместе с пищей и бактериями. После насыщения бактерий глюкозой начинается формирование кислоты, приводящей к образованию зубного налета.
Кариес депульпированного зуба лечится по стандартной схеме. Однако в таком случае нет необходимости в использовании обезболивания. Нерва, который отвечает за боль, больше нет в зубе.
Профилактика
На состояние зубной ткани сильно влияет рацион человека. Для предотвращения кариеса нужно следовать некоторым рекомендациям:
- употреблять меньше сладкого, мучного;
- сбалансировать рацион;
- следить за витаминами;
- хорошо пережевывать пищу;
- полоскать рот после еды;
- регулярно и правильно чистить зубы;
- избегать одновременного приема холодной и горячей пищи;
- периодически проводить осмотр и санацию полости рта.
В видео представлена дополнительная информация по теме статьи.
Своевременное лечение поможет быстро и безболезненно избавиться от кариеса. Профилактические меры препятствуют повреждению эмали. Всегда лучше не доводить до болезни, чем лечить ее.
Если вы нашли ошибку, пожалуйста, выделите фрагмент текста и нажмите Ctrl+Enter.





