Рубрика МКБ-10: C78.7
МКБ-10 / C00-D48 КЛАСС II Новообразования / C00-C97 Злокачественные новообразования / C76-C80 Злокачественные новообразования неточно обозначенных, вторичных и неуточненных локализаций / C78 Вторичное злокачественное новообразование органов дыхания и пищеварения
Определение и общие сведения[править]
По секционным данным, при метастазировании злокачественных опухолей
в 36% случаев диагностируют поражение печени. Метастатические опухоли печени обнаруживают в 10 раз чаще, чем первичные. Основной источник метастазов
в печень: опухоли толстой кишки (48,2%), метастазирование нейроэндокринных опухолей (16%), рака поджелудочной железы (13,5%), молочной железы (13%), желудка (6,2%), лёгкого (4,5%) или пищевода (3,7%) — наблюдают значительно реже. Источником печёночных метастазов могут также быть новообразования простаты и яичников. До 13% метастатических опухолей печени диагностируют без определения первичного очага.
Классификация
1. Классификация метастазов в печень (по количеству):
— Одиночные (солитарные)
— Единичные (2-3)
— Множественные
2. Классификация метастазов в печень (по расположению):
— Унилобарные (поражают одну долю)
— Билобарные (поражают обе доли печени)
Этиология и патогенез[править]
Патогенез
Поражение печени при опухолях органов пищеварительной системы, расположенных в бассейне воротной вены, объясняют попаданием опухолевых клеток
с током крови в печень через портальную систему. Предполагают, что аналогичным образом происходит метастазирование опухолей матки, яичников, мочевого пузыря в соседние органы и ткани, сообщающиеся между собой через бассейн воротной вены. Дренирование опухолей молочных желез, лёгкого, щитовидной железы, меланомы кожи осуществляется по венам большого круга кровообращения, поэтому пути метастазирования этих новообразований различны
(в том числе через печёночную артерию). Однако подтвердить этот механизм распространения опухолей при гистологическом исследовании довольно трудно. Полагают, что сами метастазы в печени — источник новых метастатических узлов. Метастатическое поражение печени путём непосредственной инвазии опухолей соседних органов в печень, а также лимфогенное метастазирование обнаруживают относительно редко. Процесс возникновения и прогрессии метастазов в печени может происходить бессимптомно. При увеличении печени, обусловленном ростом метастазов, пациентов беспокоит чувство тяжести в правом подреберье, в дальнейшем развивается общее истощение. При поражении значительного объёма паренхимы печени диагностируют печёночную недостаточность. При инвазии крупных жёлчных протоков или вовлечении в процесс ворот печени обнаруживают желтуху. Синдром портальной гипертензии возникает при сдавлении, прорастании или тромбозе воротной вены; отёк нижних конечностей, появление плеврального выпота справа, расширение подкожных вен передней брюшной стенки — при компрессии нижней полой вены. При метастазировании нейроэндокринных опухолей развивается карциноидный синдром.
Клинические проявления[править]
Вторичное злокачественное новообразование печени: Диагностика[править]
Метастатическое поражение печени при злокачественных новообразованиях диагностируют либо одновременно с первичным очагом, либо через некоторое время после лечения первичного рака. Обследование печени у онкологических больных обязательно проводят с использованием специальных методов визуализации (УЗИ, КТ).
Основные методы диагностики метастазов в печени — УЗИ и КТ. Нормальные показатели биохимического исследования крови (в субклинической стадии болезни) определяют более чем у 65% пациентов с метастазами в печени. Повышение активности АСТ, АЛТ, билирубина или щелочной фосфатазы регистрируют только у 50-65% больных. Исследование крови для обнаружения РЭА помогает заподозрить метастатическое поражение печени при колоректальном раке.
Ультразвуковое исследование печени — один из основных и доступных методов диагностики — позволяет визуализировать очаги новообразований размером менее 1 см.
С помощью ультразвуковой допплерографии проводят дифференциальную диагностику очаговых образований печени. Интраоперационное УЗИ (как наиболее точный метод) помогает определить мелкие, не обнаруженные при трансабдоминальном исследовании очаги. Причины гиподиагностики — изоэхогенные метастазы и выраженные диффузные изменения печени.
Преимуществом спиральной компьютерной томографии считают возможность визуализации мелких и глубоко расположенных очагов, а также более точная их топическая диагностика. Метод также позволяет проводить динамическое наблюдение, поскольку результаты разных (по времени) исследований легко пересмотреть и сопоставить по снимкам. Точность диагностики повышается при использовании болюсного внутривенного контрастирования. КТволюметрия помогает определить объём непоражённой паренхимы печени при планировании обширных резекций органа (чтобы оценить риск развития печёночной недостаточности после операции).
Читайте также: Мкб код мкб мочекаменная болезнь почек
МРТ обладает сопоставимой с КТ чувствительностью и специфичностью. Однако стоимость проведения МРТисследования очень высока, особенно при использовании контрастного усиления
Преимущества МРТ:
— возможность получить изображение органа в любой плоскости без перемещения пациента или сканирующего устройства;
— большой диапазон контрастности при исследовании;
— высокое пространственное разрешение.
Для уточнения характера очагового поражения печени с помощью МРТ используют три вида контрастов: неспецифический контрастный агент; контраст, специфичный для ретикулоэндотелиальной системы печёночной ткани; гепатоцитспецифический контраст.
Позитронноэмиссионную томографию проводят при планировании оперативного лечения для визуализации субклинических опухолевых очагов.
Важнейшей задачей уточняющей диагностики (при метастазировании опухолей в печень) считают морфологическую верификацию процесса. Для этой цели в настоящее время выполняют пункционную биопсию под контролем УЗИ (реже — под контролем КТ) с последующим гистологическим или цитологическим исследованием полученного материала. В случае затруднения морфологической верификации при первичномножественных опухолях, а также при метастазах без определённого первичного очага проводят гистологическое исследование биопсийного материала (при необходимости дополненное иммуногистохимическим анализом), сопоставляя его результаты.
Дифференциальный диагноз[править]
Вторичное злокачественное новообразование печени: Лечение[править]
Распространённость метастатического поражения печени с учётом характера первичной опухоли определяет лечебную тактику.
При раке толстой кишки, нейроэндокринных опухолях, увеальной меланоме метастазы в печени, как правило, отграничены. В этих случаях целесообразно проводить активное хирургическое лечение, в том числе при множественных метастазах и поражении обеих долей. Основной метод оперативного вмешательства — резекция печени. Резекции печени могут быть анатомическими, при этом удаляют фрагмент печени в соответствии с её сегментарным строением (наиболее часто выполняют правостороннюю или левостороннюю гемигепатэктомию, бисегментэктомию, сегментэктомию); неанатомическими (клиновидные, атипичные); резекциями печени ex vivo (вне организма).
Для повышения резектабельности проводят предоперационную эмболизацию печёночной артерии и неоадъювантную химиотерапию. При рецидиве метастазов в оставшейся части печени необходимо выполнить повторную резекцию.
При нерезектабельных метастазах, противопоказаниях к оперативному лечению используют различные методы локальной деструкции очагов, проводимые чрескожным, оперативным или лапароскопическим способом под контролем УЗИ или КТ. В группу методов локальной деструкции очагов входят алкогольная аблация, криодеструкция, лазериндуцированная термоабляция, радиочастотная термоаблация (проводят наиболее часто), микроволновая деструкция.
При невозможности оперативного лечения и локальной деструкции выполняют артериальную химиоэмболизацию и регионарную внутриартериальную химиотерапию. Наибольший эффект при внутриартериальном введении оказывает флоксуридин.
При опухолях желудка, пищевода, почки поражение печени редко носит изолированный характер (прогноз, как правило, неблагоприятный). Хирургическое лечение проводят при солитарных или единичных метастазах (при отсутствии внепечёночных очагов заболевания). Альтернативой обширному хирургическому вмешательству служит радиочастотная термоаблация как вариант циторедуктивного лечения.
При метастазах опухолей, чувствительных к консервативной терапии (например, рак молочной железы или яичников), резекции печени выполняют при наличии изолированной остаточной опухоли в печени после проведённого лекарственного (гормонального) лечения, при этом допускают выполнение экономных резекций или радиочастотной термоаблации.
Лучевую терапию (как самостоятельный метод) для лечения метастазов
в печени не используют. Однако сочетание её с дистанционным облучением и регионарной химиотерапией позволяет повысить вероятность резорбции опухоли и уменьшить болевой синдром.
Профилактика[править]
— Ранняя диагностика первичного опухолевого очага.
— Регулярное динамическое наблюдение (после успешно выполненной операции) с исследованием печени различными методами визуализации (УЗИ, КТ и др.).
Прочее[править]
Прогноз
При метастазировании опухолей в печень средняя продолжительность жизни больных, как правило, невелика (один год). Вероятность пятилетней выживаемости после резекции печени при метастазах колоректального рака составляет 20-50%, при метастазах карциноидов — 60-80%, при метастазах других опухолей — 10-40%.
Читайте также: Узел левой доли щитовидной железы код по мкб
Факторы, благоприятно влияющие на прогноз:
— изолированный характер поражения печени;
— солитарные метастазы;
— метахронно обнаруженные метастазы.
Продолжительность жизни больных после химиотерапии не превышает нескольких месяцев.
Источники (ссылки)[править]
Онкология [Электронный ресурс] / Под ред. Чиссова В.И., Давыдова М.И. — М. : ГЭОТАР-Медиа, 2013. — https://www.rosmedlib.ru/book/ISBN9785970423684.html
Дополнительная литература (рекомендуемая)[править]
Действующие вещества[править]
Связанные заболевания и их лечение
Национальные рекомендации по лечению
Содержание
- Описание
- Дополнительные факты
- Классификация
- Симптомы
- Диагностика
- Лечение
- Прогноз
Названия
Название: Метастазы в легкие.
Метастазы в легкие
Описание
Метастазы в легкие. Вторичные новообразования, возникшие при миграции злокачественных клеток из другого органа. На начальной стадии проявляются симптомами общей интоксикации и повторяющимися простудными заболеваниями. В последующем появляются одышка, боли в области грудной клетки и кашель с примесью крови. Диагноз выставляется с учетом клинических проявлений, данных рентгенографии, КТ грудной клетки, гистологических и цитологических исследований. Лечение – химиотерапия, радиотерапия, лазерная резекция, радиохирургия и традиционные хирургические вмешательства.
Дополнительные факты
Метастазы в легкие – вторичные злокачественные очаги в легочной ткани. Возможен лимфогенный, гематогенный или имплантационный путь миграции клеток из новообразования, расположенного в другом органе. Являются одними из самых распространенных вторичных опухолей. Среди пациентов преобладают мужчины старше 60 лет. Прогноз при метастазах в легких обычно неблагоприятный. Из-за множественного метастазирования, позднего обнаружения очагов в легочной ткани и сопутствующего поражения других органов радикальное лечение, как правило, невозможно. Исключением являются солитарные метастазы в легких, возникшие спустя долгое время после проведения специфической терапии либо оперативного удаления первичного новообразования. Лечение проводят специалисты в сфере онкологии и пульмонологии.
Метастазы в легкие
Классификация
Метастатические очаги в легких классифицируют по нескольким признакам:
• По типу новообразований: очаговые и инфильтративные формы.
• По количеству вторичных опухолей: солитарные (одиночные), единичные (не более 3), множественные (более 3).
• По диаметру: крупные и мелкие.
• По локализации: односторонние и двухсторонние.
С учетом особенностей распространения различают две формы метастазов в легких: диссеминированную и медиастинальную. При диссеминированной форме в легочной ткани выявляются множественные вторичные опухоли (как правило – преимущественно в нижних отделах). При медиастинальной форме вначале поражаются лимфатические узлы средостения, а потом опухолевые клетки по лимфатическим сосудам мигрируют в ткань легкого. С учетом особенностей рентгенологической картины выделяют четыре формы метастазов в легкие:
• Узловая. Включает в себя солитарную и множественную формы. На рентгенограммах выявляются узлы с четкими контурами, локализующиеся преимущественно в нижних отделах. Легочная ткань за пределами очагов сохраняет свою нормальную структуру.
• Псевдопневматическая (диффузно. Лимфатическая). На снимках обнаруживаются множественные тонкие тяжи уплотненной ткани, расположенные в перибронхиальной зоне. Ближе к очагу тяжи имеют расплывчатые контуры, по мере удаления границы уплотнений становятся более четкими.
• Плевральная. Напоминает картину экссудативного плеврита. В плевральной полости может выявляться выпот. На поверхности легких обнаруживаются бугристые напластования.
• Смешанная. Наблюдается сочетание двух или более вышеописанных форм.
При определении тактики лечения метастазов в легких имеет значение степень чувствительности опухоли к различным видам терапии. С учетом этого показателя можно условно выделить следующие типы метастазов в легких:
• Реагирующие на радиотерапию и химиотерапию (при остеогенной саркоме, раке яичника и раке яичка).
• Устойчивые к химиотерапии (при раке шейки матки и меланоме).
• Реагирующие на гормональную терапию (при гормональноактивных новообразованиях половых органов).
Симптомы
На начальной стадии метастазы в легкие обычно протекают бессимптомно. Могут выявляться общие признаки онкологического заболевания: немотивированная слабость, апатия, анемия, потеря аппетита, снижение массы тела, повышение температуры тела. Первым проявлением метастазов в легкие обычно становятся повторяющиеся простудные заболевания: грипп, бронхит, пневмония. Иногда симптомы возникают только на заключительной стадии, при множественных узлах в легких, вовлечении бронхов и плевры.
Изменение аппетита. Изменение веса. Истощение. Кашель. Нарушение терморегуляции. Одышка. Отсутствие аппетита. Потеря веса.
Читайте также: Ушиб код по мкб 10 у взрослых
Диагностика
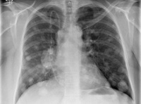
Диагноз выставляется с учетом анамнеза, клинических проявлений, результатов инструментальных и лабораторных исследований. Пациентов с подозрением на метастазы в легких направляют на рентгенографию грудной клетки, позволяющую оценивать состояние легочной ткани, определять тип, характер и количество вторичных новообразований, наличие выпота в плевральной полости. Пациентам также назначают КТ легких – эта современная методика дает возможность выявлять мелкие метастазы диаметром менее 0,5 мм, в том числе расположенные субплеврально.
При необходимости снизить лучевую нагрузку (при метастазах в легких у детей, при многочисленных исследованиях для выявления первичного очага и метастатических поражений других органов, при продолжительном наблюдении) и подозрении на наличие мелких метастазов проводят МРТ легких – эта методика позволяет обнаруживать вторичные очаги диаметром менее 0,3 Метастазы в легкие подтверждают на основании результатов цитологического исследования мокроты и плеврального выпота или гистологического исследования биоптата, полученного в процессе бронхоскопии, чрескожной пункционной биопсии легкого или (реже) открытой биопсии.
Для выявления метастазов других локализаций проводят расширенное обследование, включающее в себя УЗИ органов брюшной полости, сцинтиграфию костей скелета, КТ и МРТ позвоночника, КТ и МРТ головного мозга, УЗИ органов малого таза, УЗИ забрюшинного пространства и другие исследования. Метастазы в легкие дифференцируют с периферическим раком легких, доброкачественным новообразованием легкого, пневмонией, кистой легкого и туберкулемой.
Лечение
Лечебная тактика определяется видом первичной опухоли, ее реакцией на терапию, количеством и диаметром метастазов в легких, наличием или отсутствием метастатического поражения других органов, общим состоянием пациента и некоторыми другими факторами. Основной лечебной методикой обычно является химиотерапия, которая может применяться изолированно или в сочетании с другими методами. При метастазах в легких, возникших при диссеминации гормонозависимых опухолей, назначают гормональную терапию. Наилучший эффект гормонального лечения отмечается при раке простаты и раке молочной железы.
Радиотерапию назначают при вторичных очагах ретикулосаркомы, саркомы Юинга, остеогенной саркомы и некоторых других опухолей, чувствительных к лучевому воздействию. Показания к хирургическому лечению при метастазах в легких ограничены. Оперативное вмешательство целесообразно при одиночных метастазах, изолированном поражении периферической части легкого, контролируемом первичном новообразовании и отсутствии метастазов в другие органы. Иногда двухэтапную резекцию легкого и резекцию печени выполняют при одиночных метастазах в легком и метастатическом раке печени. В ряде случаев применяют радиохирургию либо осуществляют лазерную резекцию вторичного очага. При сдавлении крупных бронхов производят эндобронхиальную брахитерапию.
Прогностически неблагоприятными факторами считаются появление метастазов в легких ранее, чем через год после радикального лечения первичного новообразования, диаметр узлов более 5 см, быстрый рост вторичных очагов и увеличение внутригрудных лимфоузлов. Длительное выживание в некоторых случаях возможно после хирургических вмешательств по поводу одиночных метастазов в легких, возникших спустя год и более после радикального лечения первичной опухоли.
Прогноз
К числу факторов, не оказывающих существенного влияния на продолжительность жизни при метастазах в легких, относят локализацию вторичного очага (центральный или периферический), сторону поражения, наличие либо отсутствие метастатического поражения плевры. Пятилетняя выживаемость пациентов с одиночными метастазами в легких после проведения комбинированной терапии составляет около 40%. Наилучшие результаты отмечаются при первичных новообразованиях тела матки, костей, почек, молочной железы и мягких тканей.

