Содержание
- Описание
- Дополнительные факты
- Классификация
- Лечение
- Неотложная помощь
- Основные медицинские услуги
- Клиники для лечения
Названия
Название: Перелом большеберцовой кости.
Перелом большеберцовой кости
Описание
Перелом большеберцовой кости. Самый часто встречающийся перелом длинных трубчатых костей. В большинстве случаев вместе с большеберцовой костью ломается и малоберцовая. Причиной повреждения, как правило, становятся высокоэнергетические травмы: автодорожные аварии, падения с большой высоты, несчастные случаи при занятиях горнолыжным спортом Проявляется резкой болью, отеком, деформацией, крепитацией и патологической подвижностью в области голени. Для уточнения диагноза назначают рентгенографию. Лечение может быть оперативным или консервативным.
Дополнительные факты
Перелом большеберцовой кости – часто встречающаяся травма, которая имеет большое значение, как в силу своей распространенности, так и в силу возможных негативных последствий. В абсолютном большинстве случаев сопровождается смещением отломков (по длине, угловым, ротационным). Возникает вследствие значительных прямых, изгибающих и скручивающих воздействий, что обуславливает высокую долю сложных повреждений (открытых, оскольчатых, косых и винтообразных переломов). Все перечисленное в ряде случаев становится причиной неблагоприятных исходов: укорочения и искривления конечности вследствие неправильного сращения, отсутствия сращения и образования ложных суставов.
Причиной развития таких повреждений, как правило, являются высокоэнергетические травмы (автомобильные аварии, падения с высоты, несчастные случаи на производстве, техногенные и природные катастрофы), поэтому переломы большеберцовой кости часто сочетаются с другими травмами: переломами таза, переломами других костей конечностей, переломами ребер, повреждением грудной клетки, тупой травмой живота Лечение переломов костей голени осуществляют травматологи.
Перелом большеберцовой кости
Классификация
Переломы тела большеберцовой кости практически всегда нестабильны и сопровождаются более или менее выраженным смещением отломков. В зависимости от расположения линии излома и количества фрагментов в травматологии выделяют следующие виды повреждений:
• Поперечный перелом. Линия излома перпендикулярна оси кости. При одновременном нарушении целостности малоберцовой кости, как правило, наблюдается нестабильность фрагментов. Если малоберцовая кость не повреждена, возможно относительно стабильное повреждение без существенного смещения отломков.
• Косой перелом. Линия излома расположена под углом. Перелом нестабильный, имеется тенденция к увеличению смещения.
• Винтообразный перелом. Возникает при воздействии скручивающей силы. Линия излома имеет вид спирали. Повреждение обычно нестабильное.
• Оскольчатый перелом. Под воздействием травмирующей силы образуется три или более костных фрагмента. Оскольчатый перелом отличается крайней нестабильностью.
Кроме того, выделяют открытые и закрытые повреждения большеберцовой кости. При закрытых переломах кожа не повреждена, при открытых целостность кожи нарушена, область перелома сообщается с внешней средой. Открытые переломы часто сопровождаются серьезными повреждениями мягких тканей, при таких травмах существует более высокий риск развития осложнений: нагноения раны, остеомиелита, неправильного сращения, отсутствия сращения.
Лечение
На догоспитальном этапе пострадавшему дают обезболивающее, осуществляют иммобилизацию голени специальной шиной или подручными средствами (например, двумя досками). Необходимо, чтобы нижняя часть шины «захватывала» голеностопный сустав, а верхняя доходила до верхней трети бедра. При открытых переломах с кожи вокруг раны удаляют инородные тела и крупные загрязнения, рану закрывают стерильной повязкой. При обильном кровотечении накладывают жгут на бедро. При наличии травматического шока (может развиваться при множественных и сочетанных повреждениях) проводят противошоковые мероприятия.
Тактика стационарного лечения зависит от уровня и характера повреждения и может быть консервативной или оперативной. При стабильных переломах большеберцовой кости без смещения (встречаются крайне редко) возможна иммобилизация гипсовой повязкой. В остальных случаях необходимо накладывать скелетное вытяжение. Спицу проводят через пяточную кость, ногу укладывают на шину. Средняя величина начального груза для взрослого человека составляет 4-7 кг и зависит от веса тела, степени развития мышц, вида и характера смещения отломков. В последующем при необходимости массу груза можно уменьшать или увеличивать.
В дальнейшем возможны два варианта. При консервативном лечении скелетное вытяжение сохраняют в течение 4 недель, добиваясь правильного стояния фрагментов. После появления рентгенологических признаков костной мозоли вытяжение снимают, на ногу накладывают гипс сроком еще на 2,5 месяца. На начальном этапе пациенту назначают анальгетики. В течение всего периода лечения показано ЛФК и физиолечение. После снятия гипса проводят реабилитационные мероприятия.
Показанием для оперативного лечения являются многооскольчатые переломы, при которых невозможно восстановить нормальное положение отломков с использованием консервативных методов. Кроме того, хирургическое лечение применяют для ранней активизации пациентов и предупреждения развития посттравматических контрактур. В большинстве случаев операции выполняют через неделю и более после поступления пациента в стационар. К этому времени состояние больного обычно нормализуется, отек конечности уменьшается, а врачи успевают провести всестороннее обследование с целью выявления противопоказаний к оперативному вмешательству. В предоперационном периоде пациент находится на скелетном вытяжении.
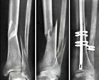
При оперативном лечении переломов большеберцовой кости используют различные металлоконструкции, в том числе – интрамедуллярные штифты, пластины и блокирующие стержни. Выбор способа остеосинтеза осуществляют с учетом характера и уровня перелома. В большинстве случаев предпочтительным является интрамедуллярный (внутрикостный) остеосинтез большеберцовой кости. Кроме того, при таких повреждениях широко используют внеочаговый остеосинтез аппаратами Илизарова – этот метод позволяет восстанавливать нормальное взаиморасположение отломков не только одномоментно (во время операции), но и в послеоперационном периоде. Он может применяться для лечения самых сложных повреждений, в том числе – раздробленных переломов с образованием дефекта кости. Недостатком методики является наличие массивной и неудобной внешней металлоконструкции.
Читайте также: Что такое медицинский код мкб
Неотложная помощь
Период сращения неосложненного перелома большеберцовой кости в среднем составляет 4 месяца. При оскольчатых переломах, открытых повреждениях и тяжелых сочетанных травмах этот срок может увеличиваться до полугода и более. Обязательным условием полноценного восстановления функции конечности является выполнение рекомендаций врача, в том числе – раннее возобновление движений, регулярные занятия ЛФК и ограничение нагрузки на травмированную ногу.
Основные медуслуги по стандартам лечения |
||
Клиники для лечения с лучшими ценами
|
Содержание
- Описание
- Дополнительные факты
- Диагностика
- Лечение
- Основные медицинские услуги
- Клиники для лечения
Названия
Название: Перелом мыщелков большеберцовой кости.
Перелом мыщелков большеберцовой кости
Описание
Перелом мыщелков большеберцовой кости. Повреждение боковых отделов верхней части большеберцовой кости. Относится к числу внутрисуставных переломов, возникает при прямом ударе, падении на колено или на выпрямленные ноги. Может сопровождаться смещением или вдавлением отломков. Проявляется резкой болью, гемартрозом, выраженным ограничением движений в коленном суставе и нарушением опоры. Диагноз уточняют при помощи рентгенографии, реже используют КТ. Тактика лечения зависит от вида перелома, может использоваться гипсовая повязка, скелетное вытяжение и различные хирургические методики.
Дополнительные факты
Перелом мыщелков большеберцовой кости – внутрисуставное повреждение боковых отделов верхнего эпифиза большеберцовой кости. Выявляется у людей любого возраста и пола. Возникает вследствие прямого удара в область коленного сустава, падения на колено либо на выпрямленные ноги (в последнем случае, как правило, образуются переломы с вдавлением отломков). Иногда данный вид переломов большеберцовой кости наблюдается при автодорожной травме вследствие удара коленом о переднюю панель. Чаще всего диагностируются переломы наружного мыщелка, второе место по распространенности занимают переломы обоих мыщелков и третье – переломы внутреннего мыщелка.
Переломы могут быть полными или неполными, со смещением или без смещения. К неполным повреждениям относятся размозжения хряща, ограниченные вдавления и трещины. Полные повреждения сопровождаются отделением всего мыщелка или его части. Переломы мыщелков могут сочетаться с повреждением связок коленного сустава, повреждениями менисков, переломами малоберцовой кости и межмыщелкового возвышения. При автодорожных происшествиях и падениях с высоты могут также выявляться переломы других костей конечностей, ЧМТ, переломы таза и позвоночника, тупая травма живота и повреждение грудной клетки.
Читайте также: Стеноз бца код мкб
Перелом мыщелков большеберцовой кости
Диагностика
В момент травмы появляется резкая боль в колене. Колено увеличено в объеме, при переломе внутреннего мыщелка может выявляться варусная деформация, при переломе наружного – вальгусная. Движения и опора резко ограничены. Наблюдается патологическая подвижность при боковых движениях в суставе. Аккуратно надавливая на мыщелки одним пальцем, обычно можно четко определить зону максимальной болезненности. Имеется выраженный гемартроз, который иногда становится причиной резкого расширения сустава и нарушений местного кровообращения.
Основным методом инструментальной диагностики является рентгенография коленного сустава. Рентгеновские снимки выполняют в двух проекциях. В абсолютном большинстве случаев это позволят достоверно установить не только факт наличия переломов, но и характер смещения отломков. При неоднозначных результатах рентгенографии пациента направляют на КТ коленного сустава. При подозрении на сопутствующее повреждение мягкотканных структур (связок или менисков) назначают МРТ коленного сустава. Иногда переломы мыщелков сопровождаются сдавлением нервов и сосудов, при подозрении на повреждение сосудисто-нервного пучка (повреждение сосуда и повреждение нерва) назначают консультации сосудистого хирурга и нейрохирурга.
Лечение
Лечение данной патологии осуществляется в условиях травматологического отделения. При поступлении травматолог выполняет пункцию коленного сустава и вводит в сустав новокаин для обезболивания перелома. Дальнейшая тактика определяется с учетом особенностей повреждения. При неполных переломах, трещинах и краевых переломах без смещения накладывают гипс на 6-8 нед. , назначают ходьбу на костылях, направляют пациента на УВЧ и ЛФК. После прекращения иммобилизации рекомендуют продолжать использовать костыли и не опираться на конечность в течение 3 месяцев с момента травмы.
При переломах со смещением в зависимости от вида перелома используется одномоментная ручная репозиция с последующим вытяжением или вытяжение без предшествующей репозиции. Наличие незначительного смещения допускает использование клеевого вытяжения. При переломе одного мыщелка или обоих мыщелков со значительным смещением, а также при переломе одного мыщелка с подвывихом или вывихом другого мыщелка накладывают скелетное вытяжение. Вытяжение обычно сохраняют в течение 6 недель, все это время проводят ЛФК. Затем вытяжение снимают, пациенту рекомендуют ходьбу на костылях без нагрузки на ногу. Отличительной особенностью внутрисуставных переломов является замедленное сращение, поэтому легкую нагрузку на ногу разрешают только через 2 месяца, а полную опору – спустя 4-6 мес.
Показанием к оперативному вмешательству является безуспешная попытка вправления отломков, резко выраженная компрессия отломков, ущемление фрагмента в полости сустава, сдавление сосудов или нервов и перелом межмыщелкового возвышения со смещением при безуспешности закрытой репозиции. Поскольку использование скелетного вытяжения в значительном количестве случаев не позволяет добиться точного сопоставления отломков, в настоящее время список показаний к операции расширяется, специалисты в области травматологии все чаще предлагают пациентам хирургическое вмешательство не только при перечисленных выше повреждениях, но и при любых переломах мыщелков с достаточно выраженным смещением фрагментов.
При обычных свежих повреждениях производят артротомию. Фрагменты, свободно лежащие в полости сустава, удаляют. Крупные отломки вправляют и фиксируют винтом, гвоздем, спицами или специальными Г- и Т-образными опорными пластинами. При многооскольчатых повреждениях и открытых переломах осуществляют наружный остеосинтез с использованием аппарата Илизарова.
При свежих переломах со значительной компрессией, неправленых и застарелых переломах, а также вторичном оседании мыщелков из-за преждевременной нагрузки на ногу выполняют костнопластическую операцию по Ситенко. Вскрывают сустав, производят остеотомию, приподнимают верхний фрагмент мыщелка так, чтобы его суставная поверхность располагалась на одном уровне и в одной плоскости с поверхностью второго мыщелка, а затем вводят в образовавшуюся щель клин, изготовленный из аутогенной или гетерогенной кости. Фрагменты скрепляют стягивающими шурупами и пластиной.
После проведения остеосинтеза рану послойно ушивают и дренируют. При стабильной фиксации иммобилизация в послеоперационном периоде не требуется. Дренаж удаляют на 3-4 сутки, затем начинают ЛФК с пассивными движениями для предотвращения развития посттравматической контрактуры сустава. Назначают тепловые процедуры. После уменьшения болей переходят к активной разработке сустава. Легкую осевую нагрузку на конечность при обычном остеосинтезе разрешают через 3-3,5 мес. , при проведении костной пластики – через 3,5-4 мес. Полная опора на ногу возможна через 4-4,5 мес.
Прогноз при адекватном сопоставлении отломков, соблюдении рекомендаций врача и сроков лечения обычно удовлетворительный. Отсутствие полной анатомической репозиции, а также преждевременная осевая нагрузка на сустав могут спровоцировать оседание отломка, что становится причиной формирования вальгусной или варусной деформации конечности с последующим развитием прогрессирующего посттравматического артроза.
Читайте также: Код мкб асфиксия в родах
Основные медуслуги по стандартам лечения |
||
Клиники для лечения с лучшими ценами
|



