Абсцессами вообще называются воспалительные процессы с выделением гноя. Их природа, по большей части, инфекционная. Возбудитель инфекции попадает в толщу ткани, защитные силы организма реагируют на него «отрядами» лейкоцитов. В результате борьбы между этими клетками и чужеродными агентами образуется гной. Фактически эта масса — тела мертвых лейкоцитов и погибших в схватке бактерий и вирусов.
Если схема развития абсцесса схожа во многих случаях, то локации развития этого воспалительного процесса могут быть самыми различными. Соответственно, осложнения, причины воспаления, методы его диагностики и лечения тоже будут различаться. Одной из таких разновидностей и является псоас-абсцесс. Его особенности мы разберем далее.
Что это такое?
Псоас-абсцесс — это воспалительный гнойный процесс, который происходит в толще подвздошно-поясничной мышцы. Что это? Данная мышца состоит из нескольких составляющих:
- Большая поясничная мышца.
- Малая поясничная мышца.
- Подвздошная мышца.
Ее прямое предназначение в следующем: соединяет позвоночник и тазовые кости с бедренными. Мышца также участвует в сгибании позвоночника и ног в тазобедренном суставе.
Почему псоас-абсцесс? От латинского названия подвздошно-поясничной мышцы — m. iliopsoas. Соответственно, по определенным причинам в ней будет развиваться воспаление, осложняющееся гнойными выделениями.
Псоас-абсцесс в МКБ-10
В Международном классификаторе болезней данный абсцесс обозначен кодом М60.0 — «Инфекционный миозит». Это заболевание мышц (М60-63), болезнь мягких тканей (М60-79), а также патологии соединительных тканей и костно-мышечной системы (М00-М99).
Псоас-абсцесс в МКБ-10 является разновидностью инфекции глубинны слоев мягких тканей. Помимо него, в группе М60.0 выделяется пиомиозит (острая первичная бактериальная инфекция скелетной мускулатуры). Псоас-абсцесс назван в классификаторе абсцессом большой поясничной мышцы. Также он определяется как инфекция мышечных футляров.
Отличия от пиомиозита
При пиомиозите основной возбудитель — золотистый стафилококк. Но может присутствовать и смешанная микрофлора. Что касается абсцесса поясничной мышцы, тут специфического возбудителя нет.
Есть еще одно важное различие между составляющими группу М60.0 по МКБ-10. Псоас-абсцесс по своей природе выступает вторичной инфекцией. По сути, он будет следствием воспалительного процесса (или воспалившихся гематом) в соседних тканях. Пиомиозит же — это первичный воспалительный процесс, который может развиться в поврежденной мышце.
Абсцессы в забрюшинном пространстве
Можно выделить несколько видов воспалительных процессов:
- Абсцесс забрюшинного переднего пространства. Это панкреатические и околокишечные абсцессы. Первые — следствие деструктивного панкреатита или панкреонекроза. Вторые развиваются при перфорации 12-перстной, ободочной кишки в результате язвы, опухоли или ранения.
- Абсцесс забрюшинного заднего пространства. Это абсцессы околопочечного пространства, что могут развиться при деструктивном аппендиците, пионефрозе, травмах околопочечной клетчатки. Также выделяются поддиафрагмальные абсцессы. Они развиваются при разлитом перитоните, прободении аппендицита, а также открытых и закрытых ранения брюшной полости.
- Псоас-абсцесс. Гнойники в данном случае могут достигать больших размеров и вызывать расплавление большой поясничной мышцы.
Причины заболевания
Как показывает медицинская статистика, чаще всего такое воспаление развивается у пациентов старше 30 лет. Самая распространенная его причина — золотистый стафилококк. В некоторых случаях возбудителями могут оказаться кишечные и синегнойные палочки, гемолитические стрептококки.
Таковы основные причины псоас-абсцесса. Инфекция в данном случае распространяется из первичного очага-источника в подвздошно-поясничную мышцу. Соответственно, возбудители поступают к ней по лимфатическим и кровеносным сосудам.
Источники инфекции
Почему нередко развивается псоас-абсцесс после операции? Чтобы ответить на вопрос, представим основные источники инфекции в данном случае:
- Воспалительные процессы, развивающиеся в позвоночнике. В частности, остеомиелит, спондилодисцит.
- Развитие воспаления в окружающей мышцу жировой подкожной клетчатке.
- Воспалительные процессы в ближайших к мышце внутренних органах — поджелудочной железе, почках, аппендикулярном отростке (поэтому псоас-абсцесс нередко является последствием аппендицита).
- Туберкулез.
- Сильная травма самой мышцы, которая привела к образованию в ней гематомы, что в дальнейшем воспалилась.
- Проведение медицинских манипуляций на позвоночнике и окружающих его мягких тканях.
Заболевание дополнительно опасно тем, что скопления гноя не статичны. Они могут распространиться и в окружающую жировую клетчатку, и в органы малого таза.
Распространение абсцесса
Мы уже упоминали, что поясничная мышца присоединяет к бедру нижний участок позвоночника. Что позволяет ей участвовать в сгибании позвоночника и бедра. Если рассмотреть анатомический атлас, мы увидим, что данная мышца будет прикрепляться сбоку к позвоночнику, к телам позвонкам и ряду поперечных отростков.
Такое ее расположение и объясняет пути распространения воспалительного процесса. Инфекции позвоночника, которые развиваются в телах позвонков или дисковых промежутках, часто распространяются на соседствующие с ними позвонки. Отсюда гной может истекать вдоль пояснично-повздошной мышцы, вовлекая ее в воспалительный процесс.
Другой путь распространения на мышцу инфекции из брюшной полости. Что касается гноя, он может течь по подвздошно-поясничной мышце уже к паху.
Читайте также: Заболевания органов кровообращения коды мкб
Нельзя не отметить, что псоас-абсцесс может быть вторичным заболеванием, которое развивается после болезни Крона, колоректального рака или же дивертикулеза. Также параспинальный процесс, затрагивающий и поясничную мышцу, может быть следствием остеомиелита.
Как мы уже отмечали, одной из распространенных причин псоас-абсцесса можно назвать и туберкулез. В некоторых случаях воспаление подвздошно-поясничной мышцы будет следствием разрыва, вскрытия абсцесса внутренних органов. Например, почек, поджелудочной железы.
Симптомы заболевания
Представим основные симптомы псоас-абсцесса:
- Боль в нижней половине живота.
- Ощущение дискомфорта в области паха, а также передней части бедра.
- Боль в нижней части спины.
- При разгибании ноги в области тазобедренного сустава чувствуется боль.
- Высокая температура тела, озноб, лихорадка.
Человек будет жаловаться на постоянную боль в левой или правой половине нижней части живота. Болевой синдром может ощущаться в них и одновременно. Нередко появляется дискомфорт в передней части бедра. При определенном распространении инфекции он переходит и в область паха. Это ощущается, как напряжение мышцы в зоне бедра. Что касается паха, больной будет отмечать будто бы скопление какого-то вещества.
При ходьбе также может чувствоваться боль, которая отдает уже в область спины. Лихорадка, высокая температура — это общие признаки активного воспалительного процесса в организме.
Состояние опасно тем, что клиническая картина в большинстве случаев является стертой. Особенно на фоне приема пациентом нестероидных противовоспалительных лекарств, которыми человек пытается заглушить боль. Пациент может длительно наблюдаться у невролога, в то время как причина болевого синдрома определена неверно.
Диагностические мероприятия
Чтобы найти причину болевого синдрома в данном случае, нужно провести не одну диагностическую процедуру. Так, диагностика псоас-абсцесса должна включать в себя следующее:
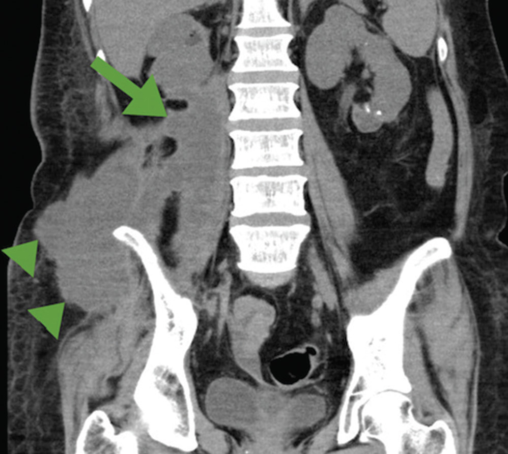
- МСКТ (компьютерная томография). Данная процедура помогает судить о распространенности воспалительного процесса. А также о его взаимоотношениях с близлежащими тканями и внутренними органами. Однако этот метод имеет и недостаток — дополнительная лучевая нагрузка на обследуемого.
- МРТ (магнитно-резонансная томография). Для этого метода характерны все плюсы, за которые выделяют компьютерную томографию. Собственным достоинством МРТ является то, что с помощью этой методики возможно определить начальные воспалительные процессы в мышце. То есть, той стадии, которая предшествует гнойной. Еще один важный плюс — при этом виде диагностики отсутствует лучевая нагрузка на пациента. Но недостаток МРТ в том, что при данной процедуре пациент должен сохранять в течение длительного времени неподвижное состояние. Что не так просто людям с острым болевым синдромом. Кроме того, к проведению МРТ существует целый ряд противопоказаний.
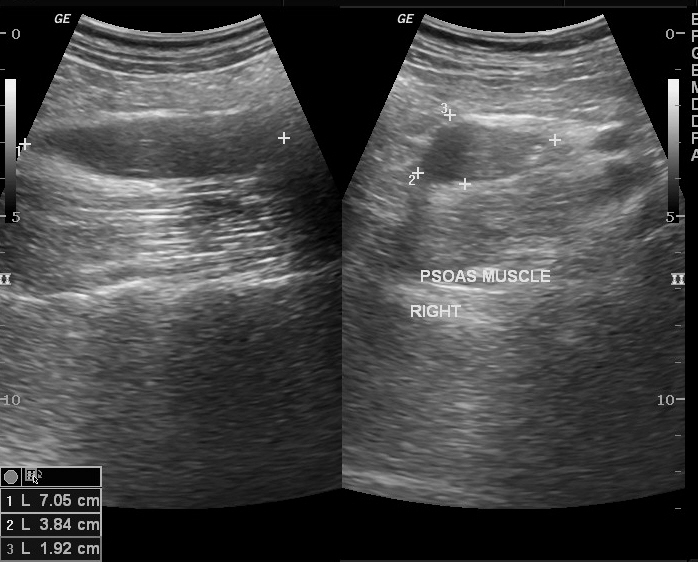
- УЗИ (ультразвуковое исследование органов брюшной полости). С помощью данной процедуры тоже возможно выявить гнойно-воспалительные процессы, затронувшие подвздошно-поясничную мышцу, а также их объем. Но в сравнении с вышеобозначенными это менее точный метод. Тем не менее звуковое обследование практически всегда позволяет найти источник распространения инфекции, масштабность проистекающего воспалительного процесса, а также оценить, насколько он затронул соседние органы и ткани.
Оперативное лечение
Лечение псоас-абсцессов оперативное. То есть проводится операция по хирургическому вскрытию гнойника. Одно лишь консервативное лечение тут невозможно по той причине, что с его помощью не получится вывести гной, прочистить мышцу и близлежащие к ней ткани и органы от омертвевших клеток.
Полость промывают от гнойной материи, после чего ее обрабатывают специальными препаратами-антисептиками. Устанавливаются специальные дренажи. В случае с псоас-абсцессом реабилитация после операции будет включать в себя прием антибиотиков, выписанных доктором.
Если характеризовать операцию в общем, то это вскрытие и дренирование сформировавшего абсцесса. Его вскрывают двумя способами: лоботомическим или же через брюшную переднюю стенку с правой или левой стороны. Это зависит от локализации воспаления на уровне гребней подвздошных костей. Брюшину отслаивают к средней линии.
Консервативное лечение
Медикаментозное лечение в данном случае продолжает хирургическое. Это специальная антибактериальная терапия, подобранная с учетом типа возбудителя, вызвавшего воспалительный процесс.
Что касается современного медикаментозного лечения псоас-абсцессов, то больному выписываются лекарства со следующими активными веществами:
- Ихтаммол.
- Цефепим.
- Амикацин.
- Тобрамицин.
- Пефлоксацин.
- Ампициллин.
- Ципрофлоксацин.
- Имипенем.
- Цефпиром.
- Ломефлоксацин.
- Тикарциллин.
Если говорить о прогнозах, то тут они в целом положительны. При условии, что было назначено полноценное адекватное лечение, а абсцесс был обнаружен на начальной стадии развития, когда воспаление не распространилось на иные важные органы и системы. В этом случае комплекс из хирургической и консервативной терапии ведет к полному выздоровлению пациента.
Псоас-абсцесс — достаточно тяжелое состояние, при котором воспалительный гнойный процесс развивается в большой поясничной мышце. Он не лечится с помощью лекарств — требуется срочное хирургическое вмешательство, а лишь затем поддерживающая антибактериальная терапия.






