Современная МСКТ является методом объемного исследования всех областей тела человека, позволяет сканировать одну и более анатомических областей за один период задержки дыхания. Быстрота исследования является одним из главных преимуществ метода современной мультиспиральной компьютерной томографии, что обеспечивает уменьшение артефактов от движения, а широкие возможности постпроцессорной обработки изображений позволяют повысить точность исследования и сделать результаты максимально наглядными и точными.
Основные преимущества МСКТ
- Высокая скорость обследования
- Многоплоскостные реформации (MPR)
- Реформации с применением проекции максимальной интенсивности (MIP)
- Реформации с применением проекции минимальной интенсивности
- Трехмерная объемная реконструкция
- Программа виртуальной эндоскопии-для просмотра трахеи, бронхов, толстого кишечника
- Программа для исследования сосудов
- Программа для обнаружения узелковых образований в легких
- Денситометрическая программа исследования плотности костной ткани
Клиническое применение МСКТ
МСКТ головного мозга.
С появлением КТ значение обычной рентгенографии в выявлении переломов черепа значительно уменьшилось, назрел вопрос о пересмотре диагностической тактики при ЧМТ. В настоящее время следует считать правилом, что при наличии соответствующей аппаратуры в первую очередь необходимо проведение компьютерной томографии.
МСКТ является прекрасным методом выявления травматических повреждений, гематом, переломов, ретробульбарного скопления воздуха. КТ и МРТ обладают одинаковой чувствительностью в выявлении орбитальных опухолей: глиома, менингиома, лимфангиома, гемангиома, гемангиопероцитома и др, а также внеконусных образований: опухоли слезной железы, дермоид, лимфома, псевдоопухоли, метастазы, тиреоидная миопатия.
КТ и МРТ обеспечивают хорошую визуализацию турецкого седла. Однако МРТ обладает рядом преимуществ-более хорошее мягкотканое разрешение, недостаток-плохо видит кальцинаты. В свою очередь МСКТ является методом выбора при всех неотложных состояниях с травмами головы.
МСКТ остается методом выбора и особенна эффективна при обызвествлениях, инородных тел, костных структур. Некоторые опухоли нр гемангиома лучше видны при МРТ. При бактериальных поражениях мозга-абсцессах, менингитах,эмпиемах могут возникать трудности диагностики с опухолевым поражением, что требует введения контраста.
Вирусные инфекции такие как герпесный энцефалит лучше выявляются при МРТ.
В визуализации демениализирующих заболеваний рассеянный склероз, миелит спинного мозга, неврит МРТ превосходит КТ
Клинические показания:
- травма головного мозга, лицевого черепа с подозрением на внутричерепное или субарахноидальное, субдуральное кровоизлияние, посттравматические последствия
- дифференциальная диагностика геморрагического и ишемического инсульта
- диагностика венозного тромбоза, внутримозговых гематом, САК
- подозрение на опухоль и вторичное поражение
- подозрение на воспалительный процесс (абсцесс)
- головная боль быстро прогрессирующая или длительная до 2 мес, не объясняемая другими причинами
- изменения в костях свода и основания черепа
- диагностика селлярных опухолей при невозможности проведения МРТ
Подготовка: не требуется
Предварительное рекомендуемое обследование: заключение невролога МСКТ головного мозга с вв усилением необходима при подозрении на опухолевый процесс, инфекционное поражение.
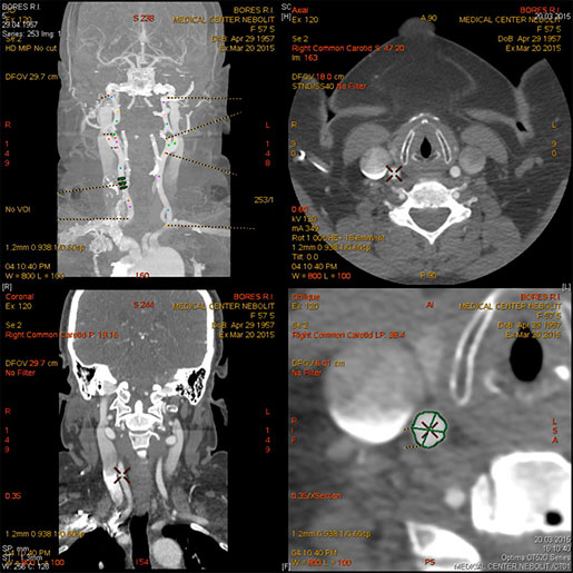
МСКТ-ангиография сосудов головного мозга
МСКТ высоко чувствительна в диагностике атеросклеротических кальцинированных, ,,мягких,, бляшек. В большинстве клиник метод МСКТ стал основным методом диагностики заболеваний сосудов сонных артерий, грудной, бюшной аорты, периферических пртерий.
Показания:
- диагностика сосудистых заболеваний (аневризмы, стенозы, мальформации, аномалии развития)
- Выявление венозного тромбоза
- Подозрение на острое кровотечение
МСКТ придаточных пазух носа, лицевого черепа, орбит
Показания:
- подозрение на опухоль, кисту
- воспалительные заболевания при отсутствии эффекта от бактериальной терапии
- травма
- аномалии развития
Подготовка: не требуется.
Предварительное рекомендуемое обследование: заключение оториноларинголога
МСКТ височных костей
Показания:
- Воспалительные заболевания и их осложнения
- Травма, аномалии развития
- Опухолевый процесс
МСКТ позвоночника и спинного мозга.
Метод МСКТ очень ценен для выявления дегенеративно-дистрофических изменений, диагностируются грыжи дисков и элементы, суживающие позвоночный канал. МРТ превосходит визуализацию спинного мозга, содержимое дурального мешка, возможность увидеть другие уровни. Однако для пациентов с типичным течением болезни локализацией симптомов на одном уровне с одной стороны МСКТ обычно достаточна для постановки диагноза.
Читайте также: Что такое синдром wpw медицина
Показания:
- подозрение на опухолевое, метастатическое поражение с деструкцией
- травматическое поражение
- подозрение на грыжу диска (с обязательным указанием сегмента поражения) при невозможности проведения МРТ
- воспалительные процессы (специфические и неспецифические) с деструкцией костных структур
Подготовка: не требуется. Предварительное рекомендуемое обследование: заключение невролога
МСКТ мягких тканей шеи, гортани (щитовидная железа, лузлы шеи, гортаноглотка).
Показания:
- выявление опухолевого процесса
- выявление лимфоаденопатии
- протяженность воспалительного процесса
- врожденные заболевания кисты, ларингоцеле
- травматическое повреждение трахеи, гортани
- инородные тела, требующие точной локализации
Предварительное рекомендуемое обследование:
Заключения оториноларинголога, эндокринолога.
Подготовка: не требуется
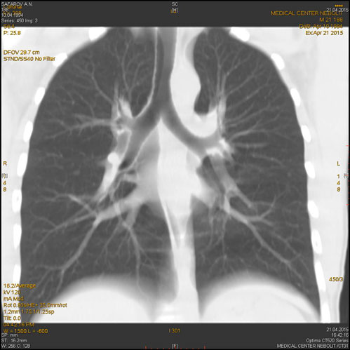
МСКТ органов грудной клетки (легких и средостения).Рентген является базовым методом исследования грудной клетки. МСКТ применяется в выявлении стадии рака легкого, туберкулеза, определяет структуру патологических образований, таких как киста, солидный компонент, сосудистые, жидкостные и воздушные полости, подозрение на ТЭЛА.
С появлением МСКТ уходит в прошлое КТ с высоким разрешением для диагностики интерстициальных заболеваний легких. При использовании МСКТ можно дифференцировать диффузные интерстициальные процессы в легких альвеолит, бронхиолит, саркоидоз, канцироматоз и очаговые изменения.
Астма и хронический бронхит диагностируются клинически. Половина больных с хроническим бронхитом имеют нормальную картину при рентгенографии. При МСКТ у пациентов можно выявить признаки обструкции-участки вздутия легочной ткани обусловленные закупоркой мелких бронхов, участки гиповентиляции за счет отека слизистой, эмфизематозные буллы, дисковидные ателектазы, бронхоэктазы.
Показания:
- Выявление изменений в легких не отображающихся на рентгенограммах
- подозрение на объемное образование легких, средостения, плевры, диафрагмы,
- лимфоаденопатия неясного генеза,
- синдром долевых и сегментарных затемнений, когда обычного рентгенологического исследования недостаточно для постановки диагноза
- для уточнения наличия очагов отсева или полостей распада при специфических поражениях легких и средостения
- аномалии развития бронхо — легочной системы
- воспалительные заболевания легких и средостения, осложнения пневмонии
- детализация диффузных изменений
- подозрение на разрыв расслоение аорты, хроническую эмболическую легочную гипертензию
- травма
- медиастинит
- опухоли пищевода
Предварительное рекомендуемое обследование: рентгенография грудной клетки
Подготовка:Не требуется.
Эмболии лкгочной артерии, источником которых обычно являются тромбы в венах таза и нижних конечностей являются грозным и относительно частым осложнением особенно у лежачих больных и после операции. Данные при рентгенографии неспецифичны. Без инфаркта может определяться приподнятие купола диафрагмы и сужение теней сосудов к периферии. Возможности МСКТ в диагностике ТЭЛА в ряде случаев позволяют отказаться от проведения инвазивной ангиографии.
МСКТ органов брюшной полости и забрюшинного пространства
Показания:
- Обследование всех пациентов с онкологическими заболеваниями
- подозрение на объемное образование брюшной полости при трудностях в диагностике УЗ -исследования
- травматические повреждения паренхиматозных органов
- механическая желтуха при трудностях в диагностике УЗ -исследования
- очаговые воспалительные поражения органов брюшной полости дифференциальная диагностика свободного и осумкованного выпота в брюшной полости.
- Заболевания печени стеатоз, цирроз, тромбоз портальной вены
- Определение распространенности опухолей желудка, кишечника
- Острые заболевания желчного пузыря при трудности УЗИ (пневматоз, ожирение)
- Диагностика кишечной непроходимости
МСКТ при синдроме острого живота
· Подозрение на гнойно-деструктивный процесс, разрыв аорты, внутрибрюшное кровотечение, острый панкреатит, перфорация полого органа
Подготовка не требуется
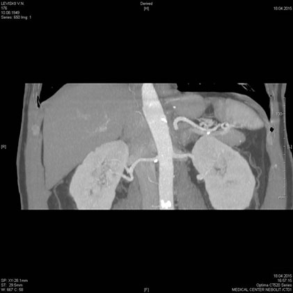
МСКТ почек, надпочечников
- Дифференциальная диагностика объемных образований почек
- Стадирование опухолей
- Стенозы почечных артерий
- Почечная колика без контрастирования
- Обструкции мочеточников
- Абсцессы
- травма
МСКТ органов малого таза
С появлением МРТ роль КТ уменьшилась, так как только на МРТ можно дифференцировать зональную анатомию матки, простаты.
>Показания:
- Первичное стадирование опухолевых образований, контроль эффективности лечения рака мочевого пузыря, предстательной железы, подозрение на объемное образование малого таза при трудностях в диагностике УЗИ- исследования
- травматические повреждения костная деструкцуия
- осложнения после операций
МСКТ надпочечников, почек
Показания:
- подозрение на опухоль надпочечников
- клинические лабораторные данные, указывающие на гиперфункцию надпочечников
- сложные аномалии развития
- подозрение на опухоль почек, надпочечников, забрюшинного пространства
- травма почек
- воспалительное поражение почек и паранефральной клетчатки
- почка
- сложные аномалии развития
- макрогематурия неясного генеза
- уролитиаз без точной локализации
Предварительное рекомендуемое обследование: УЗИ забрюшинного пространства
Подготовка: не требуется, при необходимости (по согласованию с врачом-рентгенологом) подготовка как при исследовании брюшной полости
Компьютерная томография костей и суставов
Показания:
- подозрение на опухоль, метастатическое поражение
- воспалительные поражения (специфические, неспецифические)
- дегенеративно- дистрофические процессы
- врожденные аномалии развития
Противопоказания: Общие.
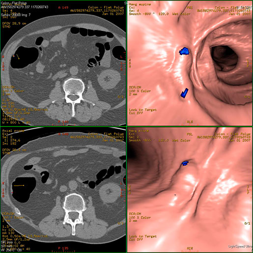
МСКТ виртуальная колонография- перспективный метод скрининга выявления колоректального рака и полипов.
Показания:
- выявление полипов и опухолей
- в качестве скрининга для практически здоровых людей
- при выраженном спаечном процессе






























