Самое частое осложнение после удаления зубов — сухая лунка. Следует знать, почему происходит такое нарушение, и что делать при появлении симптомов.
Что такое сухая лунка после удаления зуба?
Синдром сухой лунки (альвеолит) — это определение нарушения, когда после удаления зуба не образуется кровяного сгустка.
Опасно это тем, что сопровождается кровотечением и риском инфицирования. Осложнение возможно по двум причинам, когда сгусток вовсе не образуется, и когда через некоторое время выпадает.
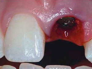
Как выглядит?
Лунка может быть частично или полностью заполнена частичками еды и некротизированными тканями от распада кровяного сгустка
При визуальном осмотре альвеолит выглядит, как пустая лунка.
Она может быть частично или полностью заполнена частичками еды и некротизированными тканями от распада кровяного сгустка.
При касании ощущается боль, особенно если обнажена альвеолярная кость.
Часто края лунки сходятся так, что нельзя увидеть ее содержимое. При промывании из нее выходит мутная жидкость с пищевыми остатками.
Что это значит?
Альвеолит возникает в 4-5% случаев, а после удаления зубов мудрости в 25-30%. Такое нарушение указывает либо на ошибку врача, либо на системные заболевания, либо на несоблюдение правил ухода за лункой после экстракции.
К разрушению сгустка (фибринолизу) приводят большая концентрация эстрогена и токсины, выделяемые бактериями при наличии кариозных полостей.
Какая должна быть в норме?
После удаления зуба через 2-3 часа формируется кровяной сгусток. Он препятствует кровотечению и защищает ткани от попадания инфекции.
Постепенно происходит его рассасывание. На 3 день начинается грануляция, за чем следует рост нового эпителия. Через неделю уже начинает формироваться костная ткань. Спустя несколько месяцев она кальцинируется, тогда и происходит полное восстановление.
Симптомы
Проявления сухой лунки после удаления зуба:
При альвеолите десна воспаленная, лунка красная, на дне видно обнаженную кость. Может происходить выделение гноя при надавливании.
Причины возникновения
Причинами сухой лунки могут быть:
- нарушение свертываемости крови;
- неправильно подобранная анестезия;
- сильное травмирование тканей во время экстракции;
- активное полоскание рта в первые дни;
- курение сразу после процедуры;
- оставшийся в лунке осколок зуба;
- плохое промывание тканей, что ведет к инфицированию.
Важно! Если на момент удаления зуба в полости рта есть очаги инфекции, это станет фактором альвеолита. Перед экстракцией обязательно проводится профессиональная гигиена и устраняются воспалительные процессы.
Возможные формы
В таблице представлены формы альвеолита:
| Форма | Особенности течения |
| Острый воспалительный процесс | Боль, отечность десны, выделения отсутствуют, температура тела в норме |
| Хронический воспалительный процесс | Присутствуют грануляции, боль слабая, могут выделяться капельки гноя, общее состояние неудовлетворительное, есть слабость, недомогание |
| Гнойно-некротический воспалительный процесс | Резкая боль, отдающая в ухо, сильное повышение температуры тела, отек десны, на дне лунки выявляется темный налет, при надавливании выделяется гной, есть стойкий неприятный запах изо рта. Самая сложная форма, часто требует хирургического вмешательства |
Сопутствующие симптомы
Сухая лунка может сопровождаться такими проявлениями, как:
- Высокая температура — сопровождает острое и гнойное воспаление, опасный симптом, при котором требуется немедленная помощь стоматолога.
- Припухлость щеки — говорит о скоплении гноя, развитии опасной гнойной формы заболевания.
- Выраженная боль — обязательный спутник альвеолита, нарастает при обнажении кости и гнойном воспалении.
Диагностика
Стоматолог проводит осмотр полости рта, обнаруживает пустую лунку. По сопутствующим признакам и жалобам определяет форму заболевания. При подозрении на застрявшие осколки зуба или поражение кости назначается рентгенограмма.
Лечение
Методики лечения будут зависеть от степени тяжести альвеолита:
- Легкая — полоскания антисептиками и противовоспалительными средствами.
- Средняя — прием антибактериальных средств, заполнение лунки лекарством.
- Тяжелая — госпитализация, терапия, зависимо от осложнений, восстановление включает проведение физиотерапии, ультрафиолетового облучения.
Важно! Антисептические полоскания и прием антибиотиков только на время устраняют симптомы воспаления, потому кюретаж (чистка лунки) будет единственным эффективным способом лечения.
Лечение в домашних условиях
Лечение в домашних условиях проводится при легкой форме воспаления
Лечение в домашних условиях проводится при легкой форме воспаления.
Для этого используются препараты Хлоргексидин, Мирамистин, раствор марганцовки.
Средствами выполняется промывание рта после каждого приема пищи.
Дополнительно можно использовать отвары ромашки, шалфея, календулы, коры дуба.
Врач может назначить дентальную пасту Солкосерил. Она оказывает обезболивающее действие и способствует заживлению поврежденных тканей.
Она вносится в предварительно промытую антисептиком лунку. Паста постепенно рассасывается, потому убирать ее не нужно. Периодически ее нужно докладывать в лунку.
Стоматологическая помощь
Этапы лечения сухой лунки у стоматолога:
- Обезболивание.
- Удаление из лунки частичек пищи и некроза.
- Промывание антисептиком.
- Высушивание и заполнение лунки йодоформной турундой.
Важно! Без удаления некроза любые другие лечебные мероприятия будут бесполезными.
После кюретажа стоматолог назначает лекарства и дает рекомендации по поводу ухода за лункой. Лекарство в лунке нужно менять каждые 3-5 дней. Посетить стоматолога придется не менее 3 раз.
Читайте также: Синдром меллори вейса по мкб
Лечение методом создания вторичного сгустка
Когда полость заполняется кровью, стоматолог кладет противовоспалительное средство и накладывает несколько швов
Лечение созданием вторичного сгустка предполагает выскабливание лунки, чтобы спровоцировать кровотечение.
Когда полость заполняется кровью, стоматолог кладет противовоспалительное средство и накладывает несколько швов. После процедуры нужно принимать антибактериальные препараты.
Такой способ лечения возможен только 2 случаях: когда пациент обращается за помощью сразу после выпадения сгустка, и при вялотекущем альвеолите без выраженных симптомов при условии заполнения лунки грануляцией.
Медикаментозная помощь
После чистки лунки назначаются следующие лекарства:
- обезболивающие препараты на основе НПВС — Ибупрофен, Найз, Диклофенак;
- антибиотики — Амоксиклав, Линкомицин, Юнидокс-солютаб;
- раствор Хлоргексидина 0,05% для полосканий.
Лечение сухой лунки при тяжелой форме
Применяются симптоматические средства для понижения температуры, обезболивания, снятия отека
При тяжелой форме заболевания нужна госпитализация. Пациенту назначается ряд мероприятий, зависимо от проявлений.
Лечение будет направлено на ликвидацию осложнений — абсцесса, флегмоны, кисты.
Назначается физиотерапия — электрофорез, УВЧ, УФО. Больным соблюдается постельный режим.
Применяются симптоматические средства для понижения температуры, обезболивания, снятия отека.
При фиброзирующем альвеолите назначаются глюкокортикоидные препараты. Если они оказываются неэффективными, врач назначает иммунодепрессанты и Пеницилламин. Без лечения быстрое замещение эпителиальной ткани грозит нарушением дыхания.
При токсическом и аллергическом воспалении также показаны глюкокортикоиды. Для ускорения восстановления врач рекомендует специальную дыхательную гимнастику, физические упражнения, прием витаминных комплексов.
Возможные осложнения
Осложнения альвеолита касаются органов дыхания и сердца. Риск последствий высок при отсутствии лечения. В легочную ткань может попадать кровь, отчего нарушается газообмен. Без своевременной помощи возможен летальный исход.
Профилактические меры
Чтобы предупредить альвеолит, соблюдайте следующие рекомендации после удаления зуба:
- первые 3 дня не полощите рот, а легко промывайте лунку отварами и назначенными антисептиками, набирая их в рот на 10-20 секунд;
- после каждого приема пищи осматривайте лунку, чтобы в ней не застревала еда, при необходимости промойте ее, но крайне осторожно;
- не прикладывайте к щеке и десне горячее, греть лунку категорически запрещено;
- откажитесь от курения и алкоголя до полного заживления;
- не занимайтесь самолечением, и принимайте только те средства, которые назначил врач, а рецепты народной медицины обязательно с ним согласовывайте;
- если боль и другие симптомы не проходят в течение 3-5 дней, обратитесь к стоматологу.
Популярные вопросы
Сколько заживает сухая лунка?
В норме лунка заживает в течение 7 дней. Грануляция и заполнение костной тканью продолжается еще несколько месяцев. При отсутствии кровяного сгустка период восстановления увеличивается до 2 недель и более, зависимо от тактики лечения.
Почему возникает после удаления зуба мудрости?
Удаление зубов мудрости практически в каждом случае сложное и заканчивается осложнениями. Связано это с трудным доступом к восьмерке, отчего во время экстракции ткани сильно травмируются. У половины пациентов кровяной сгусток после удаления последнего моляра выпадает или рассасывается.
Что делать, если сгусток не образовался или выпал?
Когда при осмотре лунке в ней не обнаруживается сгустка, сразу же запишитесь на прием к стоматологу. До посещения врача следите, чтобы в нее не попадала пища.
При появлении боли примите обезболивающую таблетку, но только однократно. Лечение у стоматолога может потребовать проведения анестезии, и если ранее принимались анальгетики, она может не подействовать.
Не занимайтесь самолечением, ведь инфекция из лунки будет распространяться на соседние ткани. Чем дольше игнорировать проблему, тем сложнее лечение и выше риск осложнений.





