Область голеностопа – важная часть опорно-двигательного аппарата. С помощью голеностопного сустава рационально распределяется по стопе вес тела при передвижении в вертикальном положении, обеспечивается высокая маневренность при ходьбе и беге, становятся возможными многие движения.
Различные поражения голеностопа значительно снижают уровень жизни человека, вредят его работоспособности и могут даже приводить к инвалидизации.
Одно из таких патологических состояний – импинджмент.
Импинджмент голеностопного сустава – что это
В образовании голеностопного сустава участвует сразу три костные структуры: больше- и малоберцовая кости, таранная кость. При их адекватном взаимодействии между собой пациент не замечает сбоев в работе сустава. Однако бывает и так, что край таранной кости начинает ударяться о край большеберцовой кости. Происходит это в состоянии крайнего сгибания или разгибания, и также помогает развитию этой патологии травма сочленения.
Подобное состояние в медицинской практике называют импинджмент голеностопного сустава.
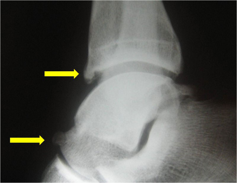
По МРТ и на рентгенограммах импинджмент голеностопного сустава.
Причины недуга
Ущемление капсулы сустава вместе с синовиальной оболочкой в области голеностопа, приводит к развитию импинджмента. В местах, где происходит сдавливание, начинают разрастаться остеофиты (иначе их называют костными шипами), развивается активный воспалительный процесс.
Наличие остеофитов приводит к еще большему уменьшению естественного пространства между таранной и большеберцовой костями. Как следствие, капсула сустава и синовиальная оболочка страдают еще сильнее, выраженность воспалительного процесса возрастает, усиливается болевой синдром.
Выделяют три основные причины, которые способствуют развитию патологического состояния:
- наличие врожденной предрасположенности у пациентов;
- перенесенные и неправильно пролеченные травмы голеностопного сустава;
- наличие хронического воспалительного процесса, спровоцированного другими факторами.
Любая из причин может способствовать негативным изменения в суставе. Как следствие, человек столкнется с симптомами заболевания, и будет значительно страдать.
Типы и степени импинджмента
Выделяют два основных типа импинджмент-синдрома: передний и задний.
Передний импинджмент – это в основном следствие травматического повреждения связочного аппарата голеностопа. Любая нестабильность сочленения, даже если она выражена совсем слабо, помогает его травматизации в положении крайнего разгибания.
По статистике, от переднего импинджмента в основном страдают атлеты. У них недуг спровоцирован частой высокой нагрузкой на переднюю часть сустава, что вызывает постоянные его повреждения. В первую очередь при данном недуге уменьшается амплитуда разгибания сочленения.
Задний импинджмент часто связно с анатомическими особенностями строения голеностопа и травмами. Задний тип импинджмента характерен в основном для балетных танцоров. Ведь во время этого танца человек вынужден много ходить на кончиках пальцев, что приводит к сильному сгибанию голеностопного сустава в задней части и, как следствие, к травматизации.
О существовании заднего импинджмента часто забывается, хотя на самом деле заболевание может привести к серьезным нарушениям функции сочленения.
Читайте также: Wpw синдром код мкб 10
Недуг можно также разделить на несколько степеней:
- I степень – характеризуется наличием шпоры размером до 3 мм на большеберцовой кости, носит название синовиальной степени;
- II степень – остеохондральная, размер шпоры превышает отметку в 3 мм;
- III степень – можно определить экзостозы с фрагментацией или без нее, шпора появляется также на таранной кости;
- IV степень – развиваются изменения, характеризующие артрозы.
Симптоматика
Ранняя стадия заболевания всегда характеризуется болевым синдромом. Боль характеризуется пациентами, как тупая, возникающая в основном при попытках совершить определенные движения. По мере прогрессирования патологии можно отметить также наличие следующих симптомов:
- ограничение подвижности сустава;
- изменения в походке пациента и нарушение опороспособности конечности, которые вызваны в основном болевым синдромом;
- постепенное уменьшение тонуса конечности;
- отечность вокруг поврежденного сустава;
- деформация сустава в последних стадиях.
Симптоматика обычно выражена довольно сильно. В зависимости от типа болезни, боль могут усиливать просьбы согнуть или разогнуть конечность резко до предела.
Диагностика
При подозрении у пациента импинджмента голеностопного сустава, всегда врач начинает с осмотра пораженной зоны. В первую очередь он может попросить больного совершить сгибательные и разгибательные движения в суставе, чтобы оценить подвижность сочленения. При этом обязательно будет уточнено, испытывает ли пациент боли при подобных движениях. Нередко выполняется стресс-тест, при котором пациента просят сесть на корточки и спрашивают, появились ли боли. Если есть подозрение на задний тип болезни, то вместо просьбы присесть на корточки, можно услышать просьбу встать на носочки.
Пациенту обязательно назначают рентгенограмму. На рентгенологическом снимке доктор легко увидит остеофиты – костные разрастания, появившиеся из-за воспалительного процесса. Дополнительно выполняется снимок в стрессовом положении. На нем доктор определит, есть ли соударение костей.
МРТ для диагностики недуга не является обязательным исследованием. Его выполнение рекомендуется, если необходимо провести дифференциальную диагностику с другими патологиями либо в начальных стадиях патологии.
Особенности лечения
В первую очередь необходимо направить усилия на то, чтобы устранить причины болезни. В начальных стадиях используются консервативные, а при неэффективности или в поздних стадиях используются хирургические методы.
Консервативные методы
Терапию стоит начинать, как только появятся первые же симптомы патологических изменений в сочленении. Именно раннее начало лечения, уберегает от необходимости решать проблему хирургически!
В консервативную терапию включают:
- тщательное ограничение нагрузок на пораженную болезнью ногу;
- использование средств, которые будут ограничивать движения в сочленении, не позволяя ему вставать в болезненное положение;
- в идеале по возможности рекомендуют покой для конечности;
- подбирают специальную ортопедическую обувь, с помощью которой можно будет ограничить движения в пораженном суставе;
- подбирают нестероидные противовоспалительные средства, под воздействием которых будет уменьшаться степень воспаления и, как следствие, выраженность симптомов;
- обеспечивают холодные компрессы на ногу, что также снижает выраженность воспаления, физиотерапевтические процедуры;
- при сильном воспалительном процессе, с которым нельзя справиться с помощью НПВС, назначают стероидные препараты.
Оперативное вмешательство
Сегодня можно выполнять операции при импинджменте артроскопически. Подобный подход характеризуется меньшей травматичностью и, как следствие, более быстрым восстановлением после операции.
В ходе артроскопической операции доктор выполняет удаление остеофитов, ущемляющийся мягкие ткани, которые только сильнее воспаляют поврежденный сустав. Также обрабатываются вовлеченные в патологический процесс хрящи, вымываются уже отмершие поврежденные ткани, освобождаются вовлеченные в процесс сухожилия.
Хоть артроскопия – операция, отличающаяся малой травматичностью в сравнении с открытыми операциями на суставах, но лучше обратиться к врачу с первыми же симптомами болезни и пройти консервативную терапию, чем ложиться на операционный стол!
Послеоперационная реабилитация
Реабилитация после операции влияет на то, как произойдет восстановление, и насколько эффективным окажется вмешательство в целом. В нашей клинике пациенты могут получить полный курс лечения (от обследования и операции, до реабилитации и полного восстановления). Врач берет под контроль реабилитационный процесс, и пациент, если он соблюдает все рекомендации, может не волноваться о том, что что-то пойдет не так.
Пациент получает рекомендации по лечебной физкультуре, которая поможет быстрее восстановить нормальную амплитуду движений в суставе и вернуться к активной жизни. Наиболее активная реабилитация под присмотром доктора начинается после того, как будет снята фиксирующая повязка (ортез)!
Импинджмент голеностопного сустава – не важно, передний он или задний – заболевание, которое может значительно снизить качество жизни человека.
Мы рекомендуем обращаться к травматологу-ортопеду при первых же симптомах недуга, чтобы сразу взять болезнь под контроль!
Если патологию запустить, лечение окажется сложным и долгим.





